Уважаемые коллеги! Приглашаем Вас и Ваших коллег принять участие в 4-й
В НИИ СП им. Н.В. Склифосовского провели пересадку легких пациентке с муковисцидозом. Программа трансплантации легких, успешно стартовавшая в НИИ СП им. Н.В. Склифосовского в прошлом году, п
Watch the INTRABEAM IORT Procedure for Breast Cancer

Статья
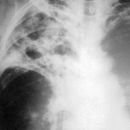
Заболевание лёгких у людей, живущих в неблагоприятных условиях
В настоящее время туберкулез, как правило, встречается только у определенных групп людей: алкоголики, наркоманы, ВИЧ-инфицированные, люди с низким уровнем жизни. Дело в том, что туберкулез передается не только контактным, но и воздушно-капельным путем. Т.е., при разговоре с человеком, болеющим туберкулезом, существует определенный риск заражения собеседника. Таким образом, если туберкулезом заболевает один из членов семьи, все остальные члены находятся в зоне риска. Поэтому, чтобы снизить риск заражения окружающих, больному необходимо использовать индивидуальные средства, препятствующие распространению бактерий туберкулеза: защитные маски, стараться прикрываться при кашле, чихании, мыть руки.
Причина заболевания людей с низким уровнем заключается в резком иммунодефиците, которым они страдают. Дело в том, что носителями туберкулезной бактерии является подавляющая часть населения, но не каждый болеет туберкулезом, так как иммунитет человека способен бороться с этим заболеванием. Если у человека иммунитет снижен, то бактерии начинают интенсивно размножаться, что, в конечном итоге, приводит к возникновению болезни.
Чтобы узнать, являетесь ли Вы носителем туберкулезной палочки, необходимо провести соответствующий диагностический тест – реакцию Манту. Под кожу вводится специфический аллерген туберкулин, который, в случае если организм уже сталкивался с туберкулезной палочкой, даст положительный результат, и врач сможет начать лечение еще до появления первых симптомов заболевания.
Появление реакции Манту позволило резко снизить смертность от туберкулеза, потому что, как известно, болезнь легче предотвратить, чем бороться с ней.
Симптомы туберкулеза
Первые симптомы туберкулеза напоминают простуду: кашель, лихорадка, озноб. Часто эти симптомы с течением времени исчезают сами, однако, в половине случаев они могут вернуться.
В дальнейшем, если туберкулез продолжает прогрессировать, возможно развитие осложнений. В первую очередь, поражается легочная ткань и плевра, что приводит к появлению кровохарканья и возникновению сильных болей в области груди при дыхании.
Чтобы не доводить до развития осложнений, необходимо каждый год проходить диспансеризацию, а при появлении первых симптомов туберкулеза немедленно обращаться к врачу.
Есть мысли на тему статьи? Поделитесь!