Пневмония (воспаление легких), описание симптомов болезни, профилактика, причины, последствия болезни и ее лечение
Описание - Пневмония (воспаление легких)
Латинское название: Pneumonia
Синонимы: Пневмония (легочные инфекции), воспаление нижних дыхательных путей, инфекции нижнего отдела дыхательных путей, пневмония бактериальная, альвеолярная пневмония, долевая пневмония, пневмония очаговая, пневмония крупозная, острая пневмония, хроническая пневмония, воспалительное заболевание легких, обострение хронической пневмонии, острая внебольничная пневмония, пневмония у детей
Термин "Пневмония" объединяет целую группу заболеваний, различных по возбудителю, течению, объему поражения (сегмент, доля или все легкое), но единых по своей сути – происходит воспалительное поражение легочной ткани. Возбудителем чаще всего является пневмококк, но также могут быть стафилококки, стрептококки, гемофильные палочки, кишечные палочки, грибы, вирусы, легионеллы, хламидии, микоплазмы, клебсиеллы и другие микроорганизмы.
Особенно легко пневмония развивается в больничных условиях, где находятся люди с ослабленным иммунитетом, где бактерии особенно агрессивны, так как они уже адаптировались к действию большинства антибиотиков и не реагируют на них (приобретают устойчивость к антибиотикам).
У взрослых некоторые факторы риска, такие как курение, чрезмерное употребление алкоголя, диабет, депрессия иммунной системы (ВИЧ-инфекция), плохое питание, респираторно-вирусные инфекции повышают риск развития пневмонии.
Существуют различные классификации пневмоний: по возбудителю заболевания (бактериальные, вирусные, смешанные, микоплазменные (возбудитель относится и к бактериям и к вирусам), аллергические и др.; по распространенности на ткань легкого (очаговые, долевые или паренхиматозные) и интерстициальные - с поражением околобронхиальных тканей; первичные (возникающие у вполне здоровых людей) и вторичные (как осложнение уже имеющихся заболеваний легких); по течению (острые, затяжные, хронические); с осложнениями и без осложнений и т.д.
Описание заболевания - Пневмония (воспаление легких):
ЭПИДЕМИОЛОГИЯ
Заболеть пневмонией могут абсоютно все люди. Наиболее уязвимы для развития пневмонии дети раннего возраста (до 2-х лет), пожилые люди (старше 60 лет), люди с иммуннодефицитными состояниями, с сердечно-легочной патологией, с сахарным диабетом. Заболеваемость повышается в холодное время года. Чаще болеют курящие люди и мужчины.
СИМПТОМЫ
В зависимости от возбудителя пневмонии могут наблюдаться разные симптомы. Кашель сухой или влажный с отделением слизисто-гнойной мокроты или мокроты с прожилками крови. Поднимается температура тела 37,5 - 38,0 и выше с ознобом. Может наблюдаться одышка, учащенное дыхание, боль на высоте вдоха в грудной клетке. У маленьких детей часто отмечается цианоз носогубного треугольника, втяжение межреберных промежутков, расширение крыльев носа при дыхании. При поражении нижних отделов легких могут наблюдаться боли в животе, тошнота и рвота. Симптомы общей интоксикации: головная боль, слабость, разбитость, снижение аппетита и др.
Симптомы: кашель со слизисто-гнойной мокротой, лихорадка с ознобом, боль в груди усугубляется глубоким дыханием, одышка, затрудненное дыхание, учащенное дыхание, мокрота с примесью крови, цианоз носогубного треугольника, поверхностное дыхание, а также возможно проявление таких симптомов как диарея, рвота, снижение аппетита, вялость, слабость, боль в животе, слабый пульс
ДИАГНОСТИКА
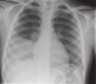
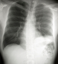
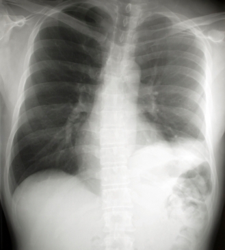
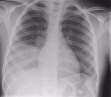
Диагноз устанавливается после осмотра больного, лабораторных и инструментальных исследований. Проводятся: клинический анализ крови, рентгенография грудной клетки, КТ грудной клетки, по показаниям бронхоскопия, исследование мокроты (микроскопия и бактериологическое исследование), исследование крови на стерильность (гемокультура), пульсоксиметрия (количество кислорода в крови)
Следует различать: пневмония (воспаление легких), бронхит, туберкулез легких, рак легкого (опухоль), тромбоэмболия легочной артерии
Медицинские процедуры, проводимые при заболевании пневмония (воспаление легких): Консультация пульмонолога, Клинический анализ крови, Биохимический анализ крови, Рентген, Спиральная компьютерная томография, Бронхоскопия, Исследование мокроты, Гемокультура, Пульсоксиметрия
ПРОГНОЗ И ОСЛОЖНЕНИЯ
Прогноз зависит от многих факторов: типа возбудителя пневмонии, возраста больного, сопутствующих заболеваний, иммунного статуса, наличия возбудителя в крови (тяжелый прогностический признак), наличия осложнений и т.д. При несвоевременном и неправильном лечении пневмония может приобретать затяжное и хроническое течение.
В большинстве случаев (70%) заболевание заканчивается выздоровлением.
Осложнения: плеврит экссудативный, эмпиема, абсцесс легкого, бактериемия
ЛЕЧЕНИЕ И ПРОФИЛАКТИКА
Лечение. Больных из группы риска и с тяжелым течением заболевания желательно госпитализировать в стационар. Всем больным назначается антибиотикотерапия, средства, расширяющие бронхи (бронхолитики), средства, разжижающие мокроту (муколитики), общеукрепляющая терапия. При тяжелом течениии в стационаре можно проводить дезинтоксикационную терапию (внутривенное введение растворов), ингаляции кислорода и лекарственных веществ (муколитики), массаж для облегчения отхождения мокроты.
Медицинские процедуры: Массажные процедуры, ИнгаляцииПри лечении данного заболевания используются следующие методы: лекарственные, нелекарственные, консервативные
- Тиментин
- , Сульфадиметоксина таблетки
- , Сультасин®
- , Сулотрим
- , Солодки корня сироп
- , Сефрил А
- , Сефрил
- , Секстафаг®
- , Рулид®
- , Ронколейкин®
- , Рондомицин
- , РоксиГЕКСАЛ®
- , Ровамицин®
- , Рифампицин-Ферейн®
- , Сумамед®
- , Сумамед® форте
- , Сумамокс
- , Тиенам
- , Терцеф
- , Тарцефоксим
- , Тароментин
- , Тарицин®
- , Таривид®
- , Тамицин
- , Тазоцин
- , Тазицеф
- , Таваник®
- , Суприма-Бронхо
- , Суперо
- , Суметролим®
- , Рифамор
- , Рифадин
- , Офлоксацин
- , Оспен® 750
- , Оспен®
- , Оспамокс®
- , Орелокс
- , Олифена таблетки 0,5 г
- , Олифена раствор для инъекций 7%
- , Оксациллина натриевая соль
- , Оксамп®
- , Нацеф®
- , Натрия нуклеинат
- , Мукосол
- , Муконекс
- , Офлоцид
- , Офлоцид форте
- , Пакселадин
- , Рибомунил
- , Реципро
- , Ретинола пальмитат
- , Раксар
- , Пульмозим
- , Простафлин
- , Пневмо 23
- , Пициллин
- , Пипракс
- , Перти®
- , Пенодил
- , Пенициллин G натриевая соль
- , Панклав
- , Мукомист
- , Тобрацин-АДС
- , Эстифан®
- , Ципробрин®
- , Ципробид
- , Ципринол®
- , Цефурабол®
- , Цефтриаксон-АКОС
- , Цефтриабол®
- , Цефтидин
- , Цефтазидим-АКОС
- , Цефспан®
- , Цефотаксим Лек
- , Цефосин®
- , Цефезол®
- , Цефат®
- , Ципролет®
- , Ципролет® А
- , Ципрофлоксацина гидрохлорида таблетки, покрытые оболочкой, 0,25 г
- , Эрмицед
- , Эритромицина фосфат
- , Эритромицина таблетки
- , Эритромицин
- , Эрдомед
- , Эрбисол®
- , Эпоцелин
- , Элефлокс
- , Экозитрин®
- , Цифран® ОД
- , Цифран®
- , Цитохром-C для инъекций
- , Цитохром C
- , Цефамезин
- , Цефамабол®
- , Флуклоксациллин
- , Флуимуцил®
- , Флексид®
- , Флавамед®
- , Фервекс для детей
- , Фервекс
- , Феноксиметилпенициллина таблетки
- , Феноксиметилпенициллин (для суспензии)
- , Феноксиметилпенициллин
- , Фактив®
- , Фазижин
- , Уназин
- , Трифамокс ИБЛ®
- , Фортум®
- , Форцеф
- , Фромилид®
- , Цефалексин-АКОС®
- , Цефалексин
- , Цефазолин-АКОС
- , Цефазолин «Биохеми»
- , Цефабол®
- , Цеклор™
- , Цезолин
- , Цедекс
- , Хлорофиллипта раствор спиртовой 0,25%
- , Хемомицин
- , Халиксол®
- , Хайлефлокс
- , Фромилид® Уно
- , Тримезол
- , Мукалтина таблетки 0,05 г
- , Амикацина сульфат
- , Доктор МОМ® растительные пастилки от кашля
- , Доксициклина гидрохлорид
- , Доксициклин
- , Доксилан
- , Доксал
- , Динабак
- , Димефосфон®
- , Джосет®
- , Дефламон
- , Деринат®
- , Грюнамокс
- , Грюнамицин сироп
- , Глево
- , Доктор Тайсс Анги Септ
- , Доктор Тайсс Эхинацеи экстракт
- , Дорипрекс®
- , Амикацин
- , Амбросан®
- , Амброксол-Хемофарм
- , Амбробене
- , Амбен
- , Иммунорм
- , Илозон
- , Зитролид® форте
- , Зиннат®
- , Зинацеф®
- , ЗИ-Фактор™
- , Зетсил
- , Заноцин®
- , Глауфос
- , Гипоксен®
- , Брилид®
- , Бифидумбактерин форте®
- , Бифидумбактерин
- , Бисептол®
- , Биодроксил
- , Биноклар®
- , Бассадо
- , Бактрим®
- , Альфацет
- , Акт-ХИБ
- , Азитрал
- , Азивок
- , Азаран
- , Брифесептол®
- , Бромгексин 8
- , Бромгексин-Ферейн®
- , Гентамицина сульфат
- , Гатиспан
- , Вильпрафен® солютаб
- , Вильпрафен®
- , Веро-Рокситромицин
- , Веро-Азитромицин
- , Вепикомбин
- , Бруламицин®
- , Бронхикум® сироп от кашля
- , Бронхикум® медицинские ванны с тимьяном
- , Бронхикум® ингалят
- , Бронхикум® бальзам с эвкалиптовым маслом
- , Бронхикум®
- , V-Пенициллин Словакофарма
- , Амоксисар®
- , Моноклин
- , Линкас®
- , Лидаприм®
- , Либексин®
- , Левомицетина таблетки
- , Лазолван®
- , Ко-тримоксазол-Ривофарм
- , Ко-тримоксазол
- , Клион
- , Клиндафер®
- , Клиндамицин
- , Климицин
- , Клацид® СР
- , Клацид®
- , Линкомицина гидрохлорид в капсулах 0,25 г
- , Лифаксон
- , Лифоран
- , Мистаброн®
- , Микрофлокс
- , Метронидазол
- , Метрогил®
- , Метилурацила таблетки 0,5 г
- , Метилурацил
- , Меронем®
- , Мегион®
- , Мегациллин орал
- , Мандол™
- , Максипим®
- , Макропен®
- , Лонгацеф
- , Клафоран®
- , Клафобрин®
- , АЦЦ® 100
- , АЦЦ®
- , Ацетилцистеина раствор для ингаляций 20%
- , Ацетилцистеин СЕДИКО
- , Аскорил экспекторант
- , Арлет®
- , Арбидол®
- , Анцеф
- , Ампициллина тригидрата таблетки 0,25 г
- , Ампициллина тригидрат в капсулах 0,25 г
- , Ампициллина натриевая соль
- , Ампициллин-АКОС
- , Ампициллин
- , АЦЦ® 200
- , АЦЦ® Лонг
- , Виферон®
- , Кларицин
- , Кларитросин®
- , Кларитромицин
- , Кламосар®
- , Клабакс® ОД
- , Кипферон®
- , Кетоцеф
- , Кейтен
- , Квипро
- , Кашнол
- , Карбоцистеин
- , Канамицина сульфат
- , Вицеф®
- , Амоксициллин
- .
Специальности по данному заболеванию
Врачи, занимающиеся данным заболеванием
-
Морозова Марина Александровна Город: Новый Уренгой Опыт: 26 лет
Работаю врачом-терапевтом в коммерческой поликлинике "Сканер" г. Новый Уренгой. Закончила Астраханский государственный медицинский институт в подробнее...
-
Налбандова Дарья Аркадьевна Город: Москва Опыт: 1 год
В 2006 году окончила Московскую Медицинскую Академию имени И.М. Сеченова. Склонна к безграничному разитию и подробнее...
Фефелова Ирина Викторовна Опыт: 40 лет
Фефелова Ирина Викторовна- терапевт-гематолог консультант высшей квалификационной категории, кандидат медицинских наук, классический гомеопат. В 1979 г подробнее...
Цены на услуги и многопрофильность медицинского центра
НИИ комплексных проблем сердечно-сосудистых заболеваний СО РАМН
Услуги:
1 из 11.
Спиральная компьютерная томография
Н/Д
Дорожная стоматологическая поликлиника ОАО "РЖД"
Услуги:
1 из 11.
Спиральная компьютерная томография
Н/Д
НИИ комплексных проблем сердечно-сосудистых заболеваний СО РАМН
Услуги: 1 из 11.
| Спиральная компьютерная томография |
Н/Д |
Дорожная стоматологическая поликлиника ОАО "РЖД"
Услуги: 1 из 11.
| Спиральная компьютерная томография |
Н/Д |







