naiti-vracha.ru - Поиск медицинских учреждений и врачей в Москве.

Абсцесс легкого, описание симптомов болезни, профилактика, причины, последствия болезни и ее лечение

Описание - Абсцесс легкого

Абсцесс легкого

Латинское название: Abscessus pulmoni

Синонимы: Легочный абсцесс, абсцесс в легких, абсцедирующая пневмония, абсцесс легкого с пневмонией, абсцесс легких, абсцесс легкого и средостения

Абсцесс легкого – ограниченный гнойный процесс в ткани легкого, вызванный проникновением бактерий, грибов, простейших при пневмонии, инфекции других органов, при аспирации инородных тел, при распаде опухоли в легких и т.д., в результате чего в легких образуются полости, заполненные гнойным содержимым.

 Возбудителями абсцесса могут быть: золотистый стафилококк, стрептококк, микобактерии, кишечная палочка, амебы, легочные двуустки, грибы (аспергиллы и др.).

Пути распространения инфекции: контактный (при воспалении легкого или плевры), бронхогенный, гематогенный или лимфогенный, при прямом ранении легкого.

Различают следующие формы абсцесса легкого: острый и хронический абсцесс (более 3-х месяцев), первичный (источник инфекции в самом легком) и вторичный (инфекция занесена из очага расположенного вне легкого), единичные и множественные, односторонние и двухсторонние и т.д.

Предрасполагающими факторами к развитию абсцессов являются: сниженный иммунитет, сахарный диабет, другие хронические заболевания.

Описание заболевания - Абсцесс легкого:

ЭПИДЕМИОЛОГИЯ

Чаще болеют мужчины 20-50 лет. Женщины болеют в 6–7 раз реже. 

Чаще заболевание развивается у ослабленных людей. К группе риска относятся алкоголики (при аспирации инородных тел и рвотных масс). Фактором риска могут считаться опухоли бронхов, пневмония, состояния после наркоза.

СИМПТОМЫ

При остром абсцессе лёгкого: боль в грудной клетке, одышка, кашель с гнойной (зловонной) мокротой, нередко кровохарканье. Выделение большого количества (полным ртом)  мокроты с неприятным запахом— признак прорыва полости абсцесса в бронх. Это вызывает временное улучшение состояния больного.

Хронический абсцесс: периодическое обострение гнойного процесса. В период ремиссии - лающий кашель, увеличение количества гнойной мокроты, возможно кровохарканье, сильная утомляемость, снижение веса тела, ночная потливость и др.


Симптомы: боль в груди, отделение гнойной мокроты с неприятным запахом, одышка, кашель с мокротой, хрипы в легких, кровохарканье, а также возможно проявление таких симптомов как лихорадка, слабость, потливость

ДИАГНОСТИКА

Диагноз ставится на основании анамнеза и клинической картины заболевания. Инструментальные исследования подтверждают диагноз. При бронхоскопии возможен забор материала для бактериологического и цитологического  исследования.


Следует различать: абсцесс легкого, эхинококкоз, очаговый туберкулез легких, рак легкого (опухоль)
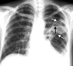
Медицинские процедуры, проводимые при заболевании абсцесс легкого: Рентген, Компьютерная томография, Бронхоскопия, Пункционная биопсия, Клинический анализ крови, Посев мокроты с расшир. спект. а/б

ПРОГНОЗ И ОСЛОЖНЕНИЯ

При правильном лечении абсцесс опорожняется и со временем полость закрывается. При осложнении  возможен прорыв абсцесса в плевральную полость и развитие эмпиемы плевры. При разрушении кровеносных сосудов возможно легочное кровотечение. Гной может распространяться на соседние области легкого и в другие органы (мозг, печень, селезенка).


Осложнения: сепсис (тяжелая инфекция), легочное кровотечение, эмпиема

ЛЕЧЕНИЕ И ПРОФИЛАКТИКА

 Лечение может быть консервативным (антибиотикотерапия, ингаляции с лекарственными препаратами, введение лекарств при бронхоскопии, пунктирование абсцесса с удалением гноя и др.) и при неэффективности консервативного лечения - хирургическое (удаление части легкого).

Профилактика заболевания: ранняя диагностика пневмоний, укрепление иммунитета, диспансеризация, профилактика асфиксии.

Медицинские процедуры: Пунктирование абсцесса с удалением гноя, Удаление доли легкого
Показать лекарственные средства...
  • Эпоцелин
  • , Форцеф
  • , Фазижин
  • , Трифамокс ИБЛ®
  • , Тинидазол-Акри®
  • , Терцеф
  • , Тарцефоксим
  • , Тароментин
  • , Тарицин®
  • , Таривид®
  • , Тамицин
  • , Суперо
  • , Сультасин®
  • , Рифамор
  • , Реципро
  • , Хлорофиллипта раствор спиртовой 0,25%
  • , Цефабол®
  • , Цефазолин-АКОС
  • , Цифран® СТ
  • , Ципробрин®
  • , Цефурабол®
  • , Цефтриаксон-АКОС
  • , Цефтриабол®
  • , Цефтазидим-АКОС
  • , Цефосин®
  • , Цефоперабол®
  • , Цефезол®
  • , Цефат®
  • , Цефамезин
  • , Цефамабол®
  • , Цефалексин
  • , Цефаклен
  • , Пициллин
  • , Пипракс
  • , Офлоксацин
  • , Ампициллина натриевая соль
  • , Ампициллин-АКОС
  • , Ампициллин
  • , Амоксисар®
  • , Амикацина сульфат
  • , Амикацин
  • , Зинацеф®
  • , Диоксидина раствор для инъекций 1%
  • , Диоксидина раствор для инъекций 0,5%
  • , Гентамицина сульфат
  • , Бруламицин®
  • , Бисептол®
  • , Бензилпенициллин
  • , Бактрим®
  • , Ампициллина тригидрата таблетки 0,25 г
  • , Вицеф®
  • , Канамицина сульфат
  • , Нацеф®
  • , Муконекс
  • , Микрофлокс
  • , Метронидазол-АКОС
  • , Метронидазол
  • , Лифаксон
  • , Липрохин
  • , Ко-тримоксазол
  • , Клион
  • , Клиндафер®
  • , Клиндамицин
  • , Кламосар®
  • , Кетоцеф
  • , Кейтен
  • , Азаран
  • .

Специальности по данному заболеванию

На этой странице Вы можете получить максимум информации о таком заболевании как абсцесс легкого. Прочитайте описание и симптомы заболевания легочный абсцесс, узнайте о возможных причинах и осложнениях. Узнав про проявления и признаки такой патологии как абсцесс в легких. Вам станет понятно, как определить характер заболевания и к какому врачу обратиться для прохождения медицинских мероприятий и избежания тяжелых последствий и осложнений. Патогенез заболевания одинаков у взрослых и детей, а профилактика и лечение отличаются у разных возрастных групп. Также вы сможете посмотреть фото заболевания и узнать возможен ли рецидив заболевания абсцедирующая пневмония и необходима ли профилактика.
Все специалисты

Врачи, занимающиеся данным заболеванием

Цены на услуги и многопрофильность медицинского центра

Российско-Израильский медицинский центр РАМБАМ

Российско-Израильский медицинский центр РАМБАМ

Услуги: 1 из 8.

 
Посев мокроты с расшир. спект. а/б

966 руб.

нет фотографии врача

НИИ комплексных проблем сердечно-сосудистых заболеваний СО РАМН

Услуги: 1 из 8.

 
Компьютерная томография

Н/Д

нет фотографии врача

Дорожная стоматологическая поликлиника ОАО "РЖД"

Услуги: 1 из 8.

 
Компьютерная томография

Н/Д

нет фотографии врача

Многопрофильный Медицинский Центр "Бест Клиник"

Услуги: 1 из 8.

 
Бронхоскопия

Н/Д

нет фотографии врача

Многопрофильный Медицинский Центр "Бест Клиник"

Услуги: 1 из 8.

 
Бронхоскопия

Н/Д

нет фотографии врача

Бест-Клиник

Услуги: 1 из 8.

 
Бронхоскопия

Н/Д

Вся информация для врачей

Новое Для Врачей

Все последние вопросы и ответы

Вопрос-ответ

Здравствуйте! У меня вторая беременность являюсь носителем гепатита С. Первые роды были 10 лет назад ребенку не передался гепатит С. Сейчас анализы на гепатит С опять положительные, очень боюсь за здоровье малыша. Остальные анализы все хорошие, на свое здоровье не раньше, не сейчас нежалуюсь. Какая вероятностьзаражения ребенка во время беременности?
Отвечает Панигрибко Сергей Леонидович (дерматовенеролог):
тяжесть заболевания можно определить только в пубертатном возрасте,когда начнут проявляться вторичные половые признаки. данное заболевание ,как правило,не передается по наследству(так как большинство больных бесплодны). решать вам- оставить или нет беременность
Нужна консультация гинеколога-эндокринолога. Хочу обратиться к доктору Саидовой Р.А.
Все ролики и обучающие фильмы

Новый Видео-Материал Для Врачей

Дата: 14.11.2012

Уважаемые коллеги!   Приглашаем Вас и Ваших коллег принять участие в 4-й

Дата: 06.11.2012

В НИИ СП им. Н.В. Склифосовского провели пересадку легких пациентке с муковисцидозом. Программа трансплантации легких, успешно стартовавшая в НИИ СП им. Н.В. Склифосовского в прошлом году, п

Дата: 24.10.2012

Watch the INTRABEAM IORT Procedure for Breast Cancer

ВЫБЕРИТЕ ЧАСТЬ ТЕЛА, КОТОРАЯ ВАС БЕСПОКОИТ:




Общее
самочувствие

Введите симптомы


Что Вас беспокоит?


найти-врача.рф это рекомендательный сервис по выбору врача и медучреждений, первый в России.

Выберите свой город, например, Москва.

На сайте необходимый специалист ответит на Ваш вопрос онлайн, даст совет и осуществит запись на прием для проведения консультации, так же можете узнать возможен ли вызов на дом. После того как врач проведет осмотр, либо вы посетите медучреждения из каталога найти-врача.рф, обязательно оставьте свои отзывы, помогите сделать выбор другим.

Вы можете найти адреса и телефоны интересующих Вас медучреждений.

Поиск врача и мед учреждения - большая и ответственная работа, в которой найти-врача.рф станет Вашим первым помощником.

Врач же может найти на сайте найти-врача.рф признание пациентов и список вакансий.

Задать вопрос специалисту

Новости

Отзывы

Статьи и заметки