Эхинококкоз, описание симптомов болезни, профилактика, причины, последствия болезни и ее лечение
Описание - Эхинококкоз
Латинское название: Echinococcosis
Синонимы: Паразит в легких, паразит в сердце, эхинококкоз сердца, эхинококкоз печени
Эхинококкоз- заболевание человека и животных,вызываемое паразитированием в органах и тканях организма личинок ленточного червя-эхинококка. Относится к группе гельминтозоонозов(группа заболеваний,вызываемых паразитическими червями,которые могут поражать как людей,так и животных)
Возбудителем является личиночная стадия эхинококка .
Описание заболевания - Эхинококкоз:
ЭПИДЕМИОЛОГИЯ
Эхинококк в личиночной стадии может расти ,развиваться и жить в организме человека десятки лет, представляет собой кисту круглой или овальной формы, заполненной жидкостью.
Половозрелые формы паразитируют в тонкой кишке различных животных.
Основной источник распростанения-собаки. Зрелые яйца выделяются с фекалиями собак,которые,попадая в окружающую среду,могут загрязнять овощи,фрукты,ягоды,питьевую воду.
СИМПТОМЫ
Эхинококк может паразитировать в различных органах и системах организма человека(печень,почки,легкие,головной мозг,селезенка,кости).Чаще выявляется у лиц среднего возраста.Болезнь в неослжненных случаях протекает безсимптомно,и часто выявляется случайно. Может отмечаться кожный зуд,повышение температуры тела.
В 50-70% поражается печень и желчевыводящие пути(желчный пузырь),личинки с общим кровотоком заносятся в мелкие капилляры печени,там оседают образую кисты и увеличиваясь в размерах.Основные жалобы это-боль и тяжесть в правом подреберье,тошнота,рвота,желтушность кожных покровов.
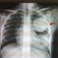
На втором месте стоит эхинококкоз легкого(20-30%)-в нем так же развивается киста.По мере ее роста в тканях легкого,происходит сдавление окружающих тканей,появляется кашель,в начале сухой,позже присоединяется мокрота с кровью,одышка.
Поражение сердца в 0,2-3%случаев.Паразит достигает его через коронарный кровоток(сосуды самого сердца).Отмечаются боли в сердце,нарушения сердечного ритма,недостаточность кровообращения сердечной мышцы,что может проявляться как инфаркт миокарда.
Эхинококкоз головного мозга встречается крайне редко,и может маскироваться клиническими симптомами под опухоль головного мозга(головные боли,головокружения,эпилепические припадки)
Симптомы: тошнота и рвота, лихорадка с ознобом, кашель с кровью, желтуха (пожелтение кожи), боль в правой верхней части живота
ДИАГНОСТИКА
В связи с ростом и увеличением эхинококковой кисты в размерах,происходит сдавление окружающих тканей органа и нарушение его функций. Что клинически сходно с ростом новообразования(опухоли)органа.
Наиболее точным диагностическим методом на данный момент является компьютерная томография и магнитно-ядерно резонансная томография. Они позволяют точно указать на локализацию кисты,толщину ее стенок и размеры.
В общем анализе крови выявлается лекоцитоз,эозинофилия.
Следует различать: эхинококкоз, опухоли сердца и перикарда, опухоли головного мозга, холецистит, перикардит (воспаление оболочки сердца), плеврит (воспаление легких покрытия), магнитно-резонансная томография головного и спинного мозга
Медицинские процедуры, проводимые при заболевании эхинококкоз: Компьютерная томография, УЗИ брюшной полости, Общий анализ крови (гемоглобин, эритроциты, эритроцитарные индексы, гематокрит, цветовой показатель, лейкоциты, тромбоциты), УЗИ сердца
ПРОГНОЗ И ОСЛОЖНЕНИЯ
- Основные стадии развития эхинококкоза :
- -первая — латентная, с момента проникновения в организм до появления первых признаков
- -вторая — слабовыраженные симптомы
- -третья — резко выраженные объективные симптомы;
- -четвертая — осложнения.
-
Быстрота нарастания симптомов связана с локализацией эхинококка.
Основным осложнением является прорыв оболочки кисты,нагноение окружающих тканей ограна в котором она находится,и прорыв гноя с развитем перитонита,плеврита,абсцесса мозга и т.д
Прогноз зависит от распростаненности эхинококкоза и степени интоксикации.При разрыве кисты и инфицировании окружающих такней,прогноз ухудшается.
Осложнения: перитонит, перикардит (воспаление оболочки сердца), абсцесс легкого, абсцессы печени, анафилактический шок, гипертензивная энцефалопатия
ЛЕЧЕНИЕ И ПРОФИЛАКТИКА
Основным и радикальным методом лечения является хирургическое,направленное на удаление кисты и борьба с гнойными осложнениями.
При лечении данного заболевания используются следующие методы: лекарственные, лапароскопия, лапаротомияСпециальности по данному заболеванию
Врачи, занимающиеся данным заболеванием
-
Морозова Марина Александровна Город: Новый Уренгой Опыт: 26 лет
Работаю врачом-терапевтом в коммерческой поликлинике "Сканер" г. Новый Уренгой. Закончила Астраханский государственный медицинский институт в подробнее...
-
Налбандова Дарья Аркадьевна Город: Москва Опыт: 1 год
В 2006 году окончила Московскую Медицинскую Академию имени И.М. Сеченова. Склонна к безграничному разитию и подробнее...
Цены на услуги и многопрофильность медицинского центра
Российско-Израильский медицинский центр РАМБАМ
Услуги:
2 из 4.
Общий анализ крови (гемоглобин, эритроциты, эритроцитарные индексы, гематокрит, цветовой показатель, лейкоциты, тромбоциты)
198 руб.
УЗИ брюшной полости
1 207 руб.
Российско-Израильский медицинский центр РАМБАМ
Услуги: 2 из 4.
| Общий анализ крови (гемоглобин, эритроциты, эритроцитарные индексы, гематокрит, цветовой показатель, лейкоциты, тромбоциты) |
198 руб. |
| УЗИ брюшной полости |
1 207 руб. |







