Очаговый туберкулез легких, описание симптомов болезни, профилактика, причины, последствия болезни и ее лечение
Описание - Очаговый туберкулез легких
Данное заболевание относится к группе заболеваний Туберкулезы легких
Латинское название: Tuberculosis pulmonum focalis
Синонимы: Локальная форма туберкулеза, полностью излечимая форма туберкулеза
Очаговый туберкулез (ОТ)- это ограниченная форма легочного туберкулеза, характеризующаяся воспалением продуктивного характера. При очаговом туберкулезе очаги воспаления находятся в верхних отделах (сегментах) легких.
Туберкулез развивается часто у людей с ослабленной иммунной системой. Причинами могут быть: хронические заболевания, ВИЧ-инфекция, алкоголизм, наркомания, переохлаждение, недоедание, недосыпание, стресс, травмы, длительный прием гормональных препаратов, диабет и др.
Различают мягко-очаговую (в зоне туберкулезного воспаления образуется полость распада) и фиброзно-очаговую (на месте воспаления образуется плотная соединительная ткань) форму заболевания.
Описание заболевания - Очаговый туберкулез легких:
ЭПИДЕМИОЛОГИЯ
Возбудителем туберкулеза являются Микобактерии туберкулеза (палочки Коха).
ОТ - наиболее частая форма туберкулеза. Частота 40—60 % среди заболевших туберкулезом.
СИМПТОМЫ
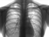
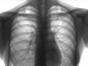
Может отмечаться субфебрильная температура вечером (37,0 - 38,0 градусов), ночная потливость, утомляемость, головная боль, румянец на щеках, сухой кашель. Отмечается волнообразное течение заболевания (периоды улучшения состояния сменяются периодами ухудшения) в течение нескольких лет. ОТ диагностируется при прохождении флюорографии или рентгенологического исследования грудной клетки.
Симптомы: субфебрильная температура, ночная потливость, общая слабость, быстрая утомляемость, сухой кашель, а также возможно проявление таких симптомов как головная боль
ДИАГНОСТИКА
Для диагностики ОТ необходимо рентгенологическое исследование грудной клетки, клинический анализ крови, бронхоскопия и забор мокроты для исследования.
Следует различать: очаговый туберкулез легких, рак легких, очаговая пневмония
Медицинские процедуры, проводимые при заболевании очаговый туберкулез легких: Консультация фтизиатра, Флюрография, Рентгенография грудной клетки, Клинический анализ крови, Бронхоскопия, Исследование мокроты, Микобактерии туберкулёза (цельная кровь с ЭДТА, мазок в пробирку типа Эппендорф со специальной средой, моча или мокрота в специальный контейнер )
ПРОГНОЗ И ОСЛОЖНЕНИЯ
При благоприятном течении заболевания очаги воспаления полностью рассасываются, при хронизации процесса очаги уплотняются, образуются рубцовые изменения, которые иногда спаиваются с плеврой. Далее эти очаги могут распадаться, образовывая полости (каверны).
Осложнения: легочный фиброз (рубцевание легких), туберкулез внутригрудных лимфатических узлов, туберкулез нервной системы
ЛЕЧЕНИЕ И ПРОФИЛАКТИКА
Лечение проводится противотуберкулезными препаратами на протяжении 6-9 месяцев. Полноценное питание, богатое витаминами, симптоматическая терапия.
Профилактика: регулярно проходить флюорографическое исследование, соблюдение мер личной гигиены.
При лечении данного заболевания используются следующие методы: лекарственные, консервативныеСпециальности по данному заболеванию
Врачи, занимающиеся данным заболеванием
-
Морозова Марина Александровна Город: Новый Уренгой Опыт: 26 лет
Работаю врачом-терапевтом в коммерческой поликлинике "Сканер" г. Новый Уренгой. Закончила Астраханский государственный медицинский институт в подробнее...
-
Налбандова Дарья Аркадьевна Город: Москва Опыт: 1 год
В 2006 году окончила Московскую Медицинскую Академию имени И.М. Сеченова. Склонна к безграничному разитию и подробнее...
Фефелова Ирина Викторовна Опыт: 40 лет
Фефелова Ирина Викторовна- терапевт-гематолог консультант высшей квалификационной категории, кандидат медицинских наук, классический гомеопат. В 1979 г подробнее...







