Тромбоэмболия легочной артерии, описание симптомов болезни, профилактика, причины, последствия болезни и ее лечение
Описание - Тромбоэмболия легочной артерии
Латинское название: Thromboembolia arteriae pulmonalis
Синонимы: Тромбоэмболия легочной артерии (тэла), тромбоэмболия легочной артерии и ее ветвей, острая массивная тромбоэмболия легочной артерии, тромбоз легочной артерии, тромбоэмболии легочной артерии
Тромбоэмболия легочной артерии (ТЭЛА) - внезапная остановка кровотока в легочной артерии, вследствие закупорки ее ветвей кровяным сгустком (тромбом), влекущая за собой прекращение поступления крови в кровоснабжаемый участок легочной ткани. Следует уточнить, что упомянутый тромб является фрагментом другого, образовавшегося и расположенного вне легочной артерии. Состояние же, при котором происходит распространение тромбов по сосудам организма, называют тромбоэмболией.
Описание заболевания - Тромбоэмболия легочной артерии:
ЭПИДЕМИОЛОГИЯ
ТЭЛА - одно из наиболее грозных и распространенных осложнений многих заболеваний послеоперационного и послеродового периодов, неблагоприятно влияющее на их течение и исход. Внезапная смерть в 1/3 случаев объясняется тромбоэмболией легочной артерии. Умирают около 20% больных с ТЭЛА, причем более половины из них в первые 2 часа после возникновения эмболии. ТЭЛА —довольно распространённая сердечно-сосудистая патология (примерно 1 случай на тысячу населения в год). ТЭЛА чаще возникает у пожилых (заболеваемость менее 5 на 100 000 у детей до более 500 на 100 000 у лиц старше 80 лет). У мужчин смертность на 20—30% выше, чем у женщин.
СИМПТОМЫ
Наиболее частые проявления ТЭЛА: одышка и учащенное дыхание. Одышка возникает внезапно. Больной лучше чувствует себя в положении лежа. Боль в грудной клетке имеет различный характер. У больного могут быть сильные болевые ощущения или дискомфорт в грудной клетке. Изредка возникает кровохарканье. Может появиться бледность или синюшная окраска (цианоз) носа, губ, ушей вплоть до чугунного оттенка. Также может наблюдаться учащенное сердцебиение, кашель, холодный пот, сонливость, заторможенность, головокружение, кратковременная или длительная потеря сознания, судороги в конечностях.
Симптомы: сильные боли за грудиной, потеря сознания, цианоз лица и верхней половины туловища, одышка, набухание и пульсация шейных вен, учащенное дыхание, боль в груди, кровохарканье, а также возможно проявление таких симптомов как учащенное сердцебиение, бледность кожных покровов, головокружение, холодный липкий пот, кашель, сонливость, заторможенность, судороги рук и ног
ДИАГНОСТИКА
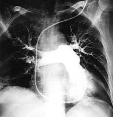
Для установления диагноза необходим осмотр больного, проведение исследований, включающих: ЭКГ, ЭхоКГ, D- димер (является продуктом деградации фибрина, его плазменный уровень повышается при тромбообразовании), рентгенографию грудной клетки, КТ-ангиографию грудной клетки, вентиляционно-перфузионную сцинтиграфию легких (исследование сосудов легких с помощью контрастных веществ для определения объема поражения). Ультразвуковое ангиосканирование вен нижних конечностей дает возможность обнаружить источник эмболизации. Комплексное рентгеноконтрастное исследование, включающее зондирование правых отделов сердца, ангиопульмонографию и ретроградную илеокавографию, остается "золотым стандартом" и позволяет однозначно решить все диагностические проблемы при подозрении на ТЭЛА.
Следует различать: тромбоэмболия легочной артерии, расслаивающаяся аневризма аорты, бронхиальная астма, пневмония (воспаление легких), спонтанный пневмоторакс, плеврит, инфаркт миокарда, хроническая обструктивная болезнь легких (хобл)
Медицинские процедуры, проводимые при заболевании тромбоэмболия легочной артерии: ЭКГ, Эхокардиография, D-димер, Рентгенография грудной клетки, КТ-ангиография грудной клетки, Вентиляционно-перфузионная сцинтиграфия легких, Ангиопульмонография, Ультразвуковое ангиосканирование вен нижних конечностей, Ретроградная илеокавография
ПРОГНОЗ И ОСЛОЖНЕНИЯ
Осложнения: легочная гипертензия, застойная сердечная недостаточность
ЛЕЧЕНИЕ И ПРОФИЛАКТИКА
Лечение и профилактика. Все больные должны быть госпитализированы в реанимационное отделение. Больного выводят из состояния шока. Дают кислород через носовой катетер. При необходимости проводят обезболивание.
Достижением современной медицины является возможность растворить тромб в сосуде. Для этого проводят тромболитическую терапию. Внутривенно вводят препараты, которые растворяют тромб (стрептокиназа, урокиназа, тканевой активатор плазминогена). Затем назначают гепарин для предупреждения повторного образования тромба. Гепарин вводят в вену 7-10 дней. Потом до 3-6 месяцев проводят лечение препаратами, которые препятствуют повышению свертываемости крови (фенилин, синкумар, варфарин) при обязательном контроле анализа крови на свертываемость.
Иногда при закупорке главных ветвей легочной артерии проводят хирургическое удаление тромба. Смертность при этих операциях высокая, но меньше чем без оперативного лечения.
При повторных ТЭЛА иногда в нижнюю полую вену ставят фильтр, который называется кава-фильтр. Он препятствует попаданию тромбов в легочные артерии.
Пациентам с факторами риска в качестве профилактики тромбозов и, как их следствия, ТЭЛА, рекомендуется бинтование ног эластичными бинтами или ношение специальных эластических чулок. Данная процедура обязательно рекомендована пациентам и во время проведения тяжелых длительных операций.







