Уважаемые коллеги! Приглашаем Вас и Ваших коллег принять участие в 4-й
В НИИ СП им. Н.В. Склифосовского провели пересадку легких пациентке с муковисцидозом. Программа трансплантации легких, успешно стартовавшая в НИИ СП им. Н.В. Склифосовского в прошлом году, п
Watch the INTRABEAM IORT Procedure for Breast Cancer

Статья
Чем опасны камни в почках?
Под мочекаменной болезнью понимают возникновение камней в одном из отделов мочевого тракта, включающего в себя почки, мочеточники, мочевой пузырь. Почечные камни – это химические вещества в моче, которые при определённых условиях выпадают в осадок и превращаются в кристаллы (чаще всего соли кальция) с острыми концами.
Каковы причины возникновения мочекаменной болезни?
Кто находится в группе риска по возниквноению мочекаменной болезни?
Как проявляется мочекаменная болезнь?
Если камень не мешает оттоку мочи, то симптомы обычно не сильно беспокоят пациента. Могут возникать:
Когда камень достигает больших размеров, возникает состояние, называемое почечной коликой, которая проявляется следующими симптомами:
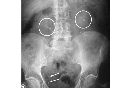
Как проводится диагностика мочекаменной болезни?
Жалобы на боль указанной выше локализации могут возникать не только при почечной колике, но и при воспалении почек или мочевого пузыря, при поражении кишечника или половых органов. Поэтому только на основе жалоб, самой постоянной из которых является жалоба на нестерпимую боль, поставить точный диагноз нельзя. Для этого врач проводит дополнительные исследования:
Врач также назначает общие анализ мочи и крови, а также биохимический анализ крови для выявления признаков воспаления мочевыводящих путей, измерения уровня кальция в крови, исследования рН мочи (кислотно-щелочного баланса) – при повышении кислотности мочи риск возникновения камней увеличивается.
Какая существует профилактика мочекаменной болезни?
Какие могут быть осложнения мочекаменной болезни?
Поэтому при обнаружении симптомов мочекаменной болезни, необходимо обратиться к урологу, которого вы сможете найти на сайте www.найти-врача.рф для назначения адекватной терапии.
Как облегчить симптомы почечной колики и вылечить мочекаменную болезнь?
Так как причиной почечной колики является камень, то необходимо протолкнуть его из того места, где он закупорил отток мочи. Для этого нужно пить большое количество жидкости – это первая мера, которую рекомендуется принять до вызова врача. При нестерпимой боли можно принять болеутоляющее. Иногда камень выходит сам, почечная колика может проходит без лечения, в противоположном случае необходимо обратиться к врачу. Если же приступы повторяются, то также необходимо обратиться к врачу для назначения необходимого лечения.
Врач назначит Вам лекарственные препараты, которые будут способствовать быстрому оттоку мочи и снижать риск образования почечных камней. Если у Вас раньше выявляли подагру или воспалительные заболевания почек или мочевого пузыря, обязательно скажите об этом врачу. Лечение этих заболеваний значительно снизит риск возникновения камней. При высоком риске развития осложнений и неэффективности лекарственных препаратов прибегают к хирургическому лечению. Довольно эффективной является физиотерапия.
Есть мысли на тему статьи? Поделитесь!