Алкогольная жировая дистрофия печени, описание симптомов болезни, профилактика, причины, последствия болезни и ее лечение
Описание - Алкогольная жировая дистрофия печени
Латинское название: Dystrophia hepatis adiposa
Синонимы: Алкогольный стеатогепатит, стеатоз печени, жировая дистрофия печени алкогольного генеза
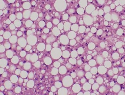
Алкогольная жировая дистрофия печени (стеатоз) - накопление жира в печеночных клетках под влиянием алкоголя, а также при некоторых патологических состояниях организма.
Продукты обмена алкоголя провоцируют образование избыточного количества жирных кислот, триглицеридов, холестерина и других соединений, которые откладываются в печеночных клетках в виде жира. Печень "пропитывается" жиром. Нередко стеатозом поражено более 40% печеночной ткани.
Описание заболевания - Алкогольная жировая дистрофия печени:
ЭПИДЕМИОЛОГИЯ
В России более 10 млн. больных алкоголизмом, а его осложнения служат причиной смерти более 10 тыс. человек ежегодно.
СИМПТОМЫ
Алкогольный стеатоз — почти бессимптомное заболевание. Иногда, после приема больших доз алкоголя, отмечаются боли в правом подреберье, тошнота, рвота, горечь во рту. Очень часто развиваются тяжелые запоры или, наоборот, диарея. Чем больше срок от начала развития заболевания, тем сильнее астенические симптомы: слабость, утомляемость, раздражительность, плаксивость.
Симптомы: боли в правом подреберье, тошнота и рвота, горечь во рту, запор, диарея (понос), а также возможно проявление таких симптомов как слабость, утомляемость, раздражительность
ДИАГНОСТИКА
Больные обращаются к врачу на запущенных стадиях из-за бессимптомного течения заболевания. При осмотре врач может обнаружить увеличение печени и изменение ее плотности. Возможны изменения в биохимическом анализе крови (АЛТ и АСТ). Проводятся УЗИ печени, МРТ и лапароскопия.
Следует различать: алкогольная жировая дистрофия печени, желчекаменная болезнь, гепатит, жировая дегенерация печени, не классифицированная в других рубриках
Медицинские процедуры, проводимые при заболевании алкогольная жировая дистрофия печени: Компл. биохим. анализ крови (об. белок, креатинин, мочевина, билирубин об., холестерин об., АЛТ, АСТ, ГГТ, амилаза, глюкоза), УЗИ, Магнитно-резонансная томография, Лапароскопия
ПРОГНОЗ И ОСЛОЖНЕНИЯ
Алкогольный стеатоз печени благоприятно разрешается при соблюдении всех рекомендаций врача и дальнейшем отказе от спиртного.
При осложненном течении стеатоза вероятность летального исхода — около 30% в течение 5 лет после диагностики, чаще из-за нарушения кровообращения в системе воротной вены, а также из-за развития печеночной недостаточности.
Осложнения: жировая дегенерация печени, не классифицированная в других рубриках, фиброз и цирроз печени
ЛЕЧЕНИЕ И ПРОФИЛАКТИКА
Лечение. Запрета на спиртное иногда бывает достаточно (регенеративные возможности печени огромны). Соблюдение диеты с уменьшением количества жиров в рационе питания, повышением белков и витаминов.
Рекомендуется соблюдение полупостельного режима с ограничением психических и физических нагрузок. Лекарственная терапия стеатоза печени включает липотропные средства, эссенциальные липиды, гормоны, витамины.
Профилактика: отказ от алкоголя, потребление пищи с низким содержанием жиров, своевременное обращение к врачу.
При лечении данного заболевания используются следующие методы: лекарственные, консервативные- Бонджигар
- , Лаеннек
- , Сибектан®
- .
Специальности по данному заболеванию
Врачи, занимающиеся данным заболеванием
-
Налбандова Дарья Аркадьевна Город: Москва Опыт: 1 год
В 2006 году окончила Московскую Медицинскую Академию имени И.М. Сеченова. Склонна к безграничному разитию и подробнее...
-
Морозова Марина Александровна Город: Новый Уренгой Опыт: 26 лет
Работаю врачом-терапевтом в коммерческой поликлинике "Сканер" г. Новый Уренгой. Закончила Астраханский государственный медицинский институт в подробнее...







