Болезнь Гоше, описание симптомов болезни, профилактика, причины, последствия болезни и ее лечение
Описание - Болезнь Гоше
Синонимы: Накопление глюкоцереброзидов, болезни накопления, нарушения обмена сфинголипидов и другие болезни накопления липидов, глюкозилцерамидный липидоз
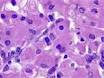
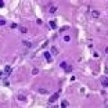
Болезнь Гоше - наследственное заболевание, обусловленное накоплением липидов (глюкоцереброзидов) в клетках мезенхимальной природы (так называемых макрофагах). Эти клетки разрастаются до гипертрофированных размеров и носят название клеток Гоше. Поражаются преимущественно клетки костного мозга, печени, селезенки, вследствие дефицита внутриклеточного фермента глюкоцереброзидазы, расщепляющего глюкоцереброзиды. При поражении костного мозга происходят необратимые изменения состава крови, с исчезновением клеток, приводящие без видимой причины к кровотечениям, анемии и нарушению обмена веществ.
Существуют 3 типа болезни Гоше: 1-доброкачественный (неврологические нарушения отсутствуют, отмечаются изменения в кроветворных органах, увеличена селезенка, деструкция костной ткани); 2 тип-злокачественный ( с грубыми неврологическими нарушениями, которые проявляются уже у новорожденных и ведут к смерти в первые 2 года жизни); 3 тип- отличается вариабельностью висцеральных и неврологических нарушений; по течению он менее злокачествен, чем тип 2.
Описание заболевания - Болезнь Гоше:
ЭПИДЕМИОЛОГИЯ
Болезнь Гоше встречается менее чем у 10 000 пациентов во всем мире, имеет наследственный характер. Она вызвана генами, которые передаются от родителей. Болезнь Гоше не связана с полом пациентов. Ее симптомы проявляются у пациентов в любом возрасте. Болезнь типа 2 и 3 диагностируется в детстве. Болезнь Гоше встречается у представителей различных рас и народов, однако чаще всего она поражает евреев Ашкенази (Восточно-Европейского происхождения). В этой группе распространенность болезни Гоше составляет 1 случай на 450 человек.
СИМПТОМЫ
Клетки Гоше накапливаются в различных органах – прежде всего, в печени, селезенке и костном мозге. Накопление клеток Гоше может привести к увеличению печени и селезенки, что приводит к болям в животе, чувству распирания, вызвать анемию (усталость, бледность кожных покровов), тромбоцитопению (кровоточивость, гематомы), боли в костях, переломы и/или изменения на рентгенограммах костей, а также ряд других симптомов ( часто у детей нарушение роста). При болезни Гоше типа 2 и 3 отмечаются поражения центральной нервной системы.
Симптомы: увеличение печени, увеличение селезенки, боль в животе, анемия, утомляемость, бледность кожных покровов, повышенная кровоточивость, синяки (гематомы), боли в костях, задержка роста
ДИАГНОСТИКА
Диагноз устанавливают по: обнаружению специфических клеток Гоше в пунктате селезенки (пункцию можно делать только в стационаре) или в костном мозге; рентгенографии костей скелета ( может быть диффузный остеопороз, остеолизис (рассасывание кости), остеосклероз и остеонекроз); результатам денситометрии (оценка плотности кости) и магнитно-резонансной томографии (МРТ). Самый точный метод диагностики – это анализ крови на выявление фермента глюкоцереброзидазы. Анализ ДНК позволяет обнаружить генетические мутации и недостаток фермента глюкоцереброзидазы.
Следует различать: болезнь гоше, гепатит, средиземноморская анемия (талассемия), гемофилия, остеомиелит, другие сфинголипидозы, вторичное злокачественное новообразование костей и костного мозга
Медицинские процедуры, проводимые при заболевании болезнь гоше: Клинический анализ крови, Рентген, Денситометрия, Магнитно-резонансная томография, Биопсия пораженных тканей
ПРОГНОЗ И ОСЛОЖНЕНИЯ
Не всегда симптомы болезни оказываются легкими. Но после правильной и своевременной диагностики больной может прожить всю жизнь под наблюдением, не прибегая к медикаментозному лечению и не опасаясь осложнений. И, напротив, больной, не получивший квалифицированной диагностики и своевременной помощи , может страдать всю жизнь от симптомов болезни, не догадываясь о ней и не получая необходимого лечения.
Осложнения: кровотечение, не классифицированное в других рубриках, инфаркт селезенки, разрушение (перелом)
ЛЕЧЕНИЕ И ПРОФИЛАКТИКА
До недавнего времени лечение заболевания сводилось к лечению его симптомов: удаление селезенки, ортопедические операции вследствие патологических переломов и др. Сегодня применяется метод заместительной ферментотерапии. Лечение состоит в инъекции, которая делается раз в две недели и предписывается только больным с тяжелыми симптомами. Так называемым "легким" больным рекомендуется наблюдение специалиста, но не медикаментозное лечение.
Эффективное лечение болезни Гоше в наше время стало реальностью, а возможность использования генотерапии создает еще более оптимистичные перспективы.
Специальности по данному заболеванию
Врачи, занимающиеся данным заболеванием
-
Морозова Марина Александровна Город: Новый Уренгой Опыт: 26 лет
Работаю врачом-терапевтом в коммерческой поликлинике "Сканер" г. Новый Уренгой. Закончила Астраханский государственный медицинский институт в подробнее...
Налбандова Дарья Аркадьевна Город: Москва Опыт: 1 год
В 2006 году окончила Московскую Медицинскую Академию имени И.М. Сеченова. Склонна к безграничному разитию и подробнее...
-
Фефелова Ирина Викторовна Опыт: 40 лет
Фефелова Ирина Викторовна- терапевт-гематолог консультант высшей квалификационной категории, кандидат медицинских наук, классический гомеопат. В 1979 г подробнее...







