Болезнь Сезари, описание симптомов болезни, профилактика, причины, последствия болезни и ее лечение
Описание - Болезнь Сезари
Латинское название: Sezari morbus
Синонимы: Сезари синдром, синдром сезари
Болезнь (синдром) Сезари — злокачественное поражение кожи, обусловленное опухолевой трансформацией Т-лимфоцитов и проявляющееся : эритродермией, лимфаденопатией и присутствием в крови специфических клеток, имеющих складчатые ядра (клетки Сезари).
Описание заболевания - Болезнь Сезари:
ЭПИДЕМИОЛОГИЯ
Болезнь Сезари является одним из часто встречающихся заболеваний группы лимфом кожи. У мужчин пожилого возраста синдром Сезари наблюдается несколько чаще, чем у других категорий населения. Однако он может развиться у лиц обоего пола и в любом возрасте.
СИМПТОМЫ
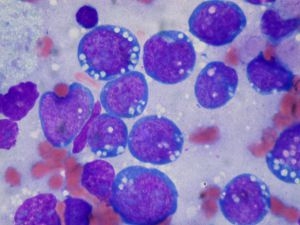
Болезнь Сезари характеризуется 3-мя главными симптомами: эритродермией; лимфаденопатией; наличием в периферической крови патологических клеток со складчатыми ядрами.
Болезнь Сезари может проявляться по-разному:
1. рассеянные высыпания экземоподобного характера, которые могут просуществовать как несколько месяцев, так и несколько лет.
2.происходит активное развитие процесса, на коже появляются эритематозные очаги, они стремительно сливаются и приводят к эритродермии.
При эритродермии цвет кожи может быть ярко-красным или синюшным, кожа выглядит грубой и утолщенной, наблюдается сухость и шелушение. При болезни Сезари наблюдаются дисхромии кожи – гиперпигментации и депигментации, гиперкератозы ладоней и подошв, алопеция, пойкилодермия (синоним: пестрая кожа), ониходистрофии (различные изменения ногтей).
Лимфаденопатия отмечается у всех пациентов, при этом увеличиваются бедренные, подмышечные, паховые лимфоузлы, которые при пальпации имеют плотноэластичную консистенцию, не спаяны с окружающими тканями. У 25-30% больных наблюдается гепатомегалия и спленомегалия. К субъективным симптомам заболевания относят зуд кожи, покалывание, жжение. Общее состояние тяжелое, наблюдается повышенное потоотделение, высокая температура, слабость, сильные ознобы.й анализ крови
Симптомы: ярко-красные участки кожи, синеватый цвет кожи (цианоз), зуд и жжение кожи, кожа грубая, утолщение кожи, сухость кожи, шелушение кожи, потемнение кожи (гиперпигментация), депигментация кожи, гиперкератоз, очаги облысения, деформация ногтей, увеличение лимфатических узлов, а также возможно проявление таких симптомов как увеличение печени, увеличение селезенки, лихорадка с ознобом, повышенное потоотделение, слабость
ДИАГНОСТИКА
Диагноз синдрома Сезари устанавливается на основании характерной клинической картины, с учетом данных анализа крови на клетки Сезари и результатов биопсии кожи.
Для постановки диагноза болезни Сезари проводят также: общий анализ крови с подсчетом лейкоцитарной формулы; рентгенография органов грудной полости; магнитно-резонансная томография; компьютерная аксиальная томография; биопсия лимфатического узла; КТ почек; УЗИ органов брюшной полости;
Следует различать: болезнь сезари, атопический дерматит (аллергическое заболевание с поражением кожи)., лимфогранулематоз, экзема, системная красная волчанка, псориаз, периферические и кожные t-клеточные лимфомы, лимфоидный лейкоз (лимфолейкоз), грибовидный микоз
Медицинские процедуры, проводимые при заболевании болезнь сезари: Биопсия кожи, Общий анализ крови + Лейкоцитарная формула, Биохимический анализ крови, Рентгенография грудной клетки, Магнитно-резонансная томография, Компьютерная томография, Биопсия лимфатических узлов, УЗИ брюшной полости
ПРОГНОЗ И ОСЛОЖНЕНИЯ
В зависимости от распространенности процесса выделяют 4 стадии синдрома Сезари.
Течение заболевания хроническое, неуклонно прогрессирующее, с трансформацией в высокозлокачественную лимфому; чаще всего смерть наступает от присоединившихся инфекций и кахексии.
Осложнения: злокачественные новообразования лимфоидной, кроветворной и родственных им тканей, другие инфекционные болезни, кахексия
ЛЕЧЕНИЕ И ПРОФИЛАКТИКА
К методам лечения синдрома Сезари относятся: химиотерапия, фотодинамическая терапия, лучевое воздействие, иммунотерапия, лечение ретиноидами.
Фотодинамическая терапия заключается в введении пациенту специального препарата, который накапливается (в основном) опухолевыми клетками. Затем облучается кожа больного или его кровь (экстракорпорально), а облучение активизирует введенное вещество. В результате препарат начинает уничтожать злокачественные клетки.
Химиотерапевтические препараты для системной терапии назначаются внутрь или в инъекциях. В зависимости от стадии синдрома Сезари может проводиться топическая или региональная химиотерапия с нанесением препаратов на кожу или их введением в отдельные пораженные участки организма.
Лучевая терапия может осуществляться как путем внешнего воздействия, так и введением радиоактивных препаратов внутрь. При синдроме Сезари также применяется воздействие пучком электронов на весь кожный покров.
Иммунотерапия синдрома Сезари проводится с применением альфа-интерферона, интерлейкин-2 или моноклональных антител.
Терапия ретиноидами основана на их способности тормозить рост злокачественных клеток.
Медицинские процедуры: Химиотерапия, Фотодинамическая терапия, Лучевая терапия, Иммунотерапия, Терапия ретиноидами- Доксал
- , Доксициклина гидрохлорид
- , Оспамокс®
- , Реальдирон®
- , Феноксиметилпенициллин (для суспензии)
- , Феноксиметилпенициллина таблетки
- .
Специальности по данному заболеванию
Цены на услуги и многопрофильность медицинского центра
Российско-Израильский медицинский центр РАМБАМ
Услуги:
2 из 13.
Общий анализ крови + Лейкоцитарная формула
252 руб.
УЗИ брюшной полости
1 207 руб.
НИИ комплексных проблем сердечно-сосудистых заболеваний СО РАМН
Услуги:
1 из 13.
Компьютерная томография
Н/Д
Российско-Израильский медицинский центр РАМБАМ
Услуги: 2 из 13.
| Общий анализ крови + Лейкоцитарная формула |
252 руб. |
| УЗИ брюшной полости |
1 207 руб. |
НИИ комплексных проблем сердечно-сосудистых заболеваний СО РАМН
Услуги: 1 из 13.
| Компьютерная томография |
Н/Д |







