Бронхостеноз, описание симптомов болезни, профилактика, причины, последствия болезни и ее лечение
Описание - Бронхостеноз
Латинское название: Bronchostenosis
Синонимы: Спазм бронхов, сужение бронхов
Бронхостеноз - патологическое состояние, обусловленное врожденным или приобретенным сужением, как правило, крупного бронха. При стенозе бронха нарушаются его воздухопроводящая и дренажно-очистительная функции, в результате чего дистальнее места сужения возникает гиповентиляция и формируется острый или хронический инфекционно-воспалительный процесс в бронхиальном дереве и легочной ткани.
Различают врожденные и приобретенные, истинные и компрессионные, органические и функциональные стенозы. Органические стенозы, в свою очередь, подразделяют на первичные, связанные с морфологическими изменениями в самой стенке бронхов и вторичные (компрессионные), при которых просвет воздухоносных путей сдавливается извне.
Первичные приобретенные (рубцовые) стенозы крупных бронхов в подавляющем большинстве случаев имеют туберкулезную этиологию. Реже их причиной являются длительно находящиеся в просвете аспирированные инородные тела, травма, хроническое неспецифическое воспаление.
Образование первичного врожденного стеноза происходит за счет неполноценного развития мембранозной части бронхов, в результате чего хрящевые кольца оказываются полностью или частично замкнутыми, а просвет бронхов — суженным. Больные с выраженным врожденным стенозом, как правило, умирают на первом году жизни от асфиксии или присоединившейся инфекции (пневмонии), но есть отдельные случаи успешного радикального оперативного лечения первичных врожденных стенозов трахеи.
Описание заболевания - Бронхостеноз:
ЭПИДЕМИОЛОГИЯ
Врожденные стенозы встречаются очень редко.
СИМПТОМЫ
Больные со стенозом крупного бронха жалуются на приступообразный, мучительный, не приносящий облегчения кашель, дающий повод для ошибочного диагноза бронхиальной астмы. При развитии и обострениях воспалительного процесса дистальнее стеноза отмечаются ухудшение общего состояния, повышение температуры, увеличение количества мокроты.
Симптомы: приступообразный сухой кашель, одышка при физической нагрузке, а также возможно проявление таких симптомов как лихорадка, слабость, повышенная утомляемость, головная боль, кашель с мокротой
ДИАГНОСТИКА
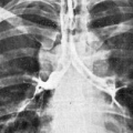
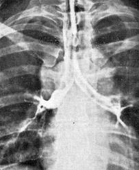
Диагноз устанавливается на основании анамнеза, клинических проявлений, данных обзорной рентгенографии, томографии, трахеобронхоскопии, спирографии, бронхографии, а также лабораторных исследований крови.
Следует различать: бронхостеноз, бронхиальная астма, инородные тела гортани трахеи бронхов
Медицинские процедуры, проводимые при заболевании бронхостеноз: Бронхоскопия, Бронхография, Рентгенография грудной клетки, Компьютерная томография, Спирография при записи на автоматических аппаратах, Клинический анализ крови, Исследование газов крови
ПРОГНОЗ И ОСЛОЖНЕНИЯ
Стеноз бронхов в зависимости от степени его выраженности и анатомических особенностей может сопровождаться развитием частичного или полного ателектаза соответствующего отдела легкого, а при наличии клапанного механизма с затрудненным выдохом — к развитию эмфиземы соответствующих отделов легкого.
При правильном определении показаний к оперативному вмешательству результаты операци - хорошие. Приступы кашля и удушья исчезают сразу же после вмешательства. Летальность минимальна.
Прогноз при субкомпенсированных и декомпенсированных некорригируемых стенозах у детей всегда серьезный, так как они угрожают полной обтурацией просвета трахеи и приводят к смерти от асфиксии.
Осложнения: пневмония (воспаление легких), ателектаз легких (спадение, нерасправление легких), эмфизема лёгких
ЛЕЧЕНИЕ И ПРОФИЛАКТИКА
Лечение, как правило, оперативное. При отсутствии необратимых изменений в бронхолегочной ткани дистальнее стеноза возможно восстановление просвета бронха путем резекции суженного участка и наложения анастомоза. Чаще изменения дистальнее места сужения оказываются необратимыми и требуют резекции пораженной части легкого, а при стенозе главного бронха — пневмонэктомии. Вторичные (компрессионные) стенозы крупных бронхов лечат удалением патологических образований, обусловивших сужение.
Профилактикой приобретенных стенозов крупных бронхов служат ранняя диагностика и лечение специфических процессов в бронхах и регионарных лимфатических узлах, своевременное восстановление крупных бронхов при их разрывах в результате закрытой травмы груди, ограничение показаний к трахеостомии, а также правильный уход за трахеостомой или интубационной трубкой при длительном ее нахождении в трахее.
Специальности по данному заболеванию
Врачи, занимающиеся данным заболеванием
-
Морозова Марина Александровна Город: Новый Уренгой Опыт: 26 лет
Работаю врачом-терапевтом в коммерческой поликлинике "Сканер" г. Новый Уренгой. Закончила Астраханский государственный медицинский институт в подробнее...
-
Налбандова Дарья Аркадьевна Город: Москва Опыт: 1 год
В 2006 году окончила Московскую Медицинскую Академию имени И.М. Сеченова. Склонна к безграничному разитию и подробнее...
Цены на услуги и многопрофильность медицинского центра
Российско-Израильский медицинский центр РАМБАМ
Услуги:
1 из 7.
Спирография при записи на автоматических аппаратах
1 317 руб.
Российско-Израильский медицинский центр РАМБАМ
Услуги: 1 из 7.
| Спирография при записи на автоматических аппаратах |
1 317 руб. |







