Бруксизм, описание симптомов болезни, профилактика, причины, последствия болезни и ее лечение
Описание - Бруксизм
Латинское название: Bruxism
Синонимы: Бруксизм (скрежетание зубами), непроизвольный скрежет зубами во время сна
Бруксизм – стоматологическое заболевание, основным симптомом которого является неприятный скрежет зубов в результате сжатия челюстей из-за непроизвольного сокращения жевательных мышц.
До сих пор не выяснены механизмы возникновения бруксизма, что значительно затрудняет профилактику данного заболевания. Бруксизм часто проявляется у пациентов с патологиями стороения лицевого скелета, различными заболеваниями височно-нижнечелюстного сустава. Кроме того, бруксизм чаще всего сопровождает людей, склонных к стрессам и эмоциональным нагрузкам. Считается, что факторами, способствующими возникновению бруксизма, могут стать такие нарушения глубины сна, как сомнамбулизм, храп, ночные кошмары. В случае внезапного развития бруксизма у взрослого человека имеет смысл провести его полное медицинское обследование, так как в данном случае бруксизм может выступать как проявление различных общих заболеваний, в частности эпилепсии.
Дневной бруксизм проявляет себя во время бодрствования в привычке сильно (вплоть до скрежета) сжимать зубы в моменты эмоционального напряжения.
Ночной бруксизм - сжимание зубов и скрежетание ими во время сна (несколько раз за ночь).
Описание заболевания - Бруксизм:
ЭПИДЕМИОЛОГИЯ
Бруксизм может возникнуть у любого человека в любом возрасте. Бруксизм у взрослых встречается практически так же часто, как и бруксизм у детей. По данным исследователей, бруксизмом страдает примерно до 10-15 % взрослых людей и около 50% детей. Хотя количество больных может быть и значительно выше, ведь далеко не каждый человек (особенно если он ведет замкнутый образ жизни) осознает, что он болен этим заболеванием. Ночной бруксизм встречается значительно чаще дневного. У женщин в возрасте от 17 до 35 лет, имеются не резко выраженные расстройства центральной нервной системы, что заставляет их стискивать челюсти и скрежетать зубами
СИМПТОМЫ
Приступы бруксизма сопровождаются скрежещущим звуком зубов, длящимся от нескольких секунд до нескольких минут. Попутно может наблюдаться изменение пульса, артериального давления, нарушения дыхания, головные боли и т.п. Кроме того пациенты могут жаловаться на: утренние мигрени, челюстные боли, боли в височно-нижнечелюстных суставах, боли лицевых мускулов и нервов, оталгия (боль в ушах), боль в придаточных пазухах носа, звон в ушах, вертиго (вестибулярное головокружение), боль в шее, боль в плечах, боль в спине, плохой сон, не чувствует себя отдохнувшим, стресс или напряжение, депрессия, нарушение питания, бессонница, дневная сонливость, раздражение глаз.
Симптомы: скрежет зубов, а также возможно проявление таких симптомов как головные боли, учащенное сердцебиение, повышенное артериальное давление, учащенное дыхание
ДИАГНОСТИКА
Диагноз, как правило, устанавливается на основе анамнеза. Диагноз можно подтвердить с помощью специального полисомнографического исследования, при котором регистрируется картина спастического сокращения жевательных мышц. Кроме этого, полисомнография важна для исключения эпилепсии как причинного фактора бруксизма.
Следует различать: бруксизм, эпилепсия
Медицинские процедуры, проводимые при заболевании бруксизм: Полисомнографическое исследование, Консультация стоматолога
ПРОГНОЗ И ОСЛОЖНЕНИЯ
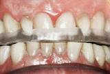
Если бруксизм сопровождает человека достаточно долго, то он может вызвать очень серьезные последствия: при тяжелых формах заболевания у пациентов наблюдается стирание дентина, кариес и воспаление тканей периодонта; расшатывание и переломы зубов; нарушение прикуса; повышенная чувствительность зубов; патология височно-нижнечелюстного сустава; головная боль; боли и спазмы лицевых мышц.
Помимо этого бруксизм может привести к довольно серьезным психологическим проблемам человека, так как вызывает ощущение дискомфорта и отчуждения у окружающих его людей.
ЛЕЧЕНИЕ И ПРОФИЛАКТИКА
Лечение. Бороться с бруксизмом самостоятельно часто практически бессмысленно. Как только вы заподозрили у себя данное заболевание, обратитесь к специалисту-стоматологу за профессиональной консультацией и назначением грамотного лечения.
При этом помните, что бруксизм у детей иногда не требует специального особого лечения, а может со временем пройти самостоятельно. Бруксизм у взрослых же лечить нужно обязательно.
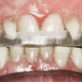
Врач может порекомендовать надевать на время сна специальное устройство (каппу), изготовленную стоматологом по форме и размеру ваших зубов. Каппа надевается на верхние зубы и предохраняет их от трения о нижние зубы. Устройство помогает справиться с бруксизмом, но от него не излечивает. Хорошо помогает психотерапия, которая направлена на выявление конфликтов, их осознание и развитие способностей эффективно справляться с повседневными трудностями.
Рекомендуется: сократить потребление кофеина и богатых углеводами продуктов; принимать теплые ванны; не перегружать себя; научиться какой-нибудь хорошей общерасслабляющей технике, например релаксации и медитации, массажу, легким физическим упражнениям, йоге.







