Буллезный мирингит, описание симптомов болезни, профилактика, причины, последствия болезни и ее лечение
Описание - Буллезный мирингит
Латинское название: Myringitis
Синонимы: Буллезное воспаление барабанной перепонки
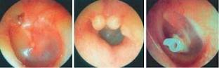
Буллезный мирингит - это острое болезненное состояние уха, характеризующееся образованием булл на барабанной перепонке и глубоко в наружном слуховом проходе. Это состояние может быть обусловлено различными этиологическими факторами и встречаться с различной частотой. Пузыри на барабанной перепонке могут быть наполнены серозной жидкостью (герпетическая инфекция), кровью (при гриппе) - геморрагический Мирингит или гноем при бактериальной инфекции. У основания каждого пузырька видны петехии (мелкоточечные кровоизлияния).
В подавляющем большинстве случаев мирингит— одно из проявлений воспаления среднего уха или наружного слухового прохода. Часто он и протекает под маской острого среднего отита, однако осложнения мирингита могут быть тяжелыми и необратимыми (например, сенсоневральная глухота).
Описание заболевания - Буллезный мирингит:
ЭПИДЕМИОЛОГИЯ
На буллезный мирингит приходится около 10% всех инфекции среднего уха.
СИМПТОМЫ
Основным симптомом является пульсирующая, обычно односторонняя боль в ухе. Боль может быть очень интенсивной (больной не может уснуть), но может внезапно исчезнуть, если булла спонтанно разрывается. Другие симптомы включают в себя: лихорадку; потерю слуха, а также кровянистые выделения из слухового прохода. Мелкие буллы чаще характерны для герпетического поражения, а крупные буллы для гриппа и парагриппа.
Симптомы: боль в ушах, кровянистые выделения из уха, а также возможно проявление таких симптомов как лихорадка, снижение слуха
ДИАГНОСТИКА
Буллезный мирингит диагностируется во время отоскопии. Ткани барабанной перепонки воспаленные, можно увидеть пузыри содержащие жидкость (серозную или геморрагическую). Проводится проверка слуха (аудиологическое исследование).
Лабораторные исследования. Мазок из уха направляется в лабораторию для определения конкретных бактерий, вызывающих инфекцию. В большинстве случаев это исследование не требуется и обычно применяется при инфекциях, которые не реагируют на лечение.
Следует различать: буллезный мирингит, острый средний серозный отит
Медицинские процедуры, проводимые при заболевании буллезный мирингит: Клинический анализ крови, Консультация отоларинголога, Отоскопия, Бактериологическое исследование, Аудиологическое исследование
ПРОГНОЗ И ОСЛОЖНЕНИЯ
Прогноз, как правило, благоприятный.
Осложнения: нейросенсорная потеря слуха неуточненная
ЛЕЧЕНИЕ И ПРОФИЛАКТИКА
Лечение БМ заключается в интенсивном обезболивании (применяют нестероидные противовоспалительные препараты), . Хороший эффект достигается смазыванием булл на барабанной перепонке противовирусными препаратами (Зовиракс, Ацикловир). При абсцедирующем (иногда и при буллезном) мирингите вскрывают пузырьки с помощью парацентезной иглы, производят туалет уха, вдувают порошок борной кислоты. При гриппозном мирингите назначаются противогриппозные препараты. При необходимости назначаются обезболивающие препараты. Местно применяются противовоспалительные средства. При длительных выделениях из уха назначают антибиотики широкого спектра действия на 5 дней.
Пациентов необходимо тщательно наблюдать, как можно раньше проводить аудиологическое обследование для выявления сенсоневральной тугоухости. При появлении симптомов тугоухости: назначают гормонотерапию коротким курсом.
Профилактика. Профилактика мирингита заключается в раннем выявлении признаков болезни. Необходимо своевременно обращаться к врачу и принимать необходимые при первых симптомах заболевания среднего уха меры.







