naiti-vracha.ru - Поиск медицинских учреждений и врачей в Москве.

Гемомеланоз, описание симптомов болезни, профилактика, причины, последствия болезни и ее лечение

Описание - Гемомеланоз

Гемомеланоз

Синонимы: Избыток железа в организме

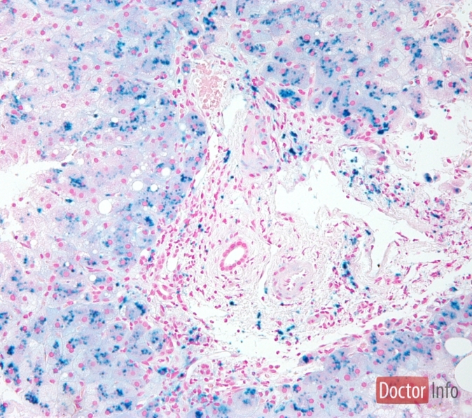
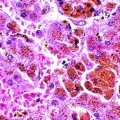
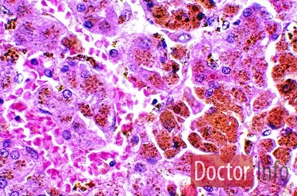
Наследственное заболевание, при котором происходит накопление избыточного количества железа в коже и различных органах, что ведет к нарушению их функций. Причиной заболевания являются генетический дефект фермента, ответственного за всасывание железа, или избыточное поступление железа в организм (частые переливания крови, прием препаратов железа). 

Описание заболевания - Гемомеланоз:

Специальности по данному заболеванию

На этой странице Вы можете получить максимум информации о таком заболевании как гемомеланоз. Прочитайте описание и симптомы заболевания избыток железа в организме, узнайте о возможных причинах и осложнениях. Узнав про проявления и признаки такой патологии как гемомеланоз. Вам станет понятно, как определить характер заболевания и к какому врачу обратиться для прохождения медицинских мероприятий и избежания тяжелых последствий и осложнений. Патогенез заболевания одинаков у взрослых и детей, а профилактика и лечение отличаются у разных возрастных групп. Также вы сможете посмотреть фото заболевания и узнать возможен ли рецидив заболевания гемомеланоз и необходима ли профилактика.
Вся информация для врачей

Новое Для Врачей

Все последние вопросы и ответы

Вопрос-ответ

Здравствуйте! У меня вторая беременность являюсь носителем гепатита С. Первые роды были 10 лет назад ребенку не передался гепатит С. Сейчас анализы на гепатит С опять положительные, очень боюсь за здоровье малыша. Остальные анализы все хорошие, на свое здоровье не раньше, не сейчас нежалуюсь. Какая вероятностьзаражения ребенка во время беременности?
Отвечает Панигрибко Сергей Леонидович (дерматовенеролог):
тяжесть заболевания можно определить только в пубертатном возрасте,когда начнут проявляться вторичные половые признаки. данное заболевание ,как правило,не передается по наследству(так как большинство больных бесплодны). решать вам- оставить или нет беременность
Нужна консультация гинеколога-эндокринолога. Хочу обратиться к доктору Саидовой Р.А.
Все ролики и обучающие фильмы

Новый Видео-Материал Для Врачей

Дата: 14.11.2012

Уважаемые коллеги!   Приглашаем Вас и Ваших коллег принять участие в 4-й

Дата: 06.11.2012

В НИИ СП им. Н.В. Склифосовского провели пересадку легких пациентке с муковисцидозом. Программа трансплантации легких, успешно стартовавшая в НИИ СП им. Н.В. Склифосовского в прошлом году, п

Дата: 24.10.2012

Watch the INTRABEAM IORT Procedure for Breast Cancer

ВЫБЕРИТЕ ЧАСТЬ ТЕЛА, КОТОРАЯ ВАС БЕСПОКОИТ:




Общее
самочувствие

Введите симптомы


Что Вас беспокоит?


найти-врача.рф это рекомендательный сервис по выбору врача и медучреждений, первый в России.

Выберите свой город, например, Москва.

На сайте необходимый специалист ответит на Ваш вопрос онлайн, даст совет и осуществит запись на прием для проведения консультации, так же можете узнать возможен ли вызов на дом. После того как врач проведет осмотр, либо вы посетите медучреждения из каталога найти-врача.рф, обязательно оставьте свои отзывы, помогите сделать выбор другим.

Вы можете найти адреса и телефоны интересующих Вас медучреждений.

Поиск врача и мед учреждения - большая и ответственная работа, в которой найти-врача.рф станет Вашим первым помощником.

Врач же может найти на сайте найти-врача.рф признание пациентов и список вакансий.

Задать вопрос специалисту

Новости

Отзывы

Статьи и заметки