Инсульт, описание симптомов болезни, профилактика, причины, последствия болезни и ее лечение
Описание - Инсульт
Латинское название: Insult
Синонимы: Мозговой удар
Инсульт- острое патологическое состояние, вызванное нарушением доставки крови к клеткам головного мозга, в результате закрытия сосуда тромбом, спазма сосуда либо нарушением целостности стенки сосуда и кровоизлиянием в ткани головного мозга.
Существует два типа инсультов. Ишемический инсульт - случается, если тромб блокирует артерию или развивается резкий спазм сосудов головного мозга. Второй тип инсульта геморрагический - происходит, когда в мозге лопается кровеносный сосуд, случается разрыв аневризмы и происходит кровоизлияние в ткань мозга. В обоих случаях клетки поврежденной области мозга перестают получать кислород и необходимые им питательные вещества в достаточном количестве и начинают погибать. Чаще всего как геморрагический, так и ишемический инсульт, развиваются на фоне гипертонической болезни, болезни сердца (мерцательная аритмия, пороки, пароксизмальная тахикардия), сердечной недостаточности, церебрального атеросклероза.
Причиной закупорки может быть: эмболия (когда тромб отрывается от места образования и с кровотоком попадает в артерии головного мозга); тромбоз (образование тромба в сосудах мозга, обычно вследствие атеросклероза);
Причинами разрыва мозговой артерии и кровоизлияния являются: артериальная гипертензия; врожденно слабые стенки артерий, например, аневризма; тяжёлая травма (например, сильный удар по голове при дорожно-транспортном происшествии).
Описание заболевания - Инсульт:
СИМПТОМЫ
Симптомы инсульта: появление неожиданной слабости, онемения или паралича мышц лица, руки или ноги, обычно с одной стороны тела; необычное затруднение или нарушение речи; резкое ухудшение зрения одного или обоих глаз; неожиданное нарушение походки, головокружение, потеря равновесия или координации; острые головные боли без каких-либо понятных причин.
Кратковременные ишемические приступы представляют собой микроинсульт (преходящий транзиторный церебральный ишемический приступ). Симптомы его те же, что и у обычного инсульта, но продолжительность всего несколько минут.
Симптомы: одностороннее онемение руки или ноги, тестовый симптом, невнятная речь, слабость руки, слабость в ногах, неспособность говорить, неспособность понимать речь, трудности при глотании, трудности при чтении, потеря координации, утрата чувствительности, головокружение, а также возможно проявление таких симптомов как потеря равновесия, вялость, апатия, сонливость, ухудшение памяти, слюнотечение, неконтролируемые движения глаз, двоение в глазах, изменение зрения, изменения личности, изменение настроения, потеря сознания
ДИАГНОСТИКА
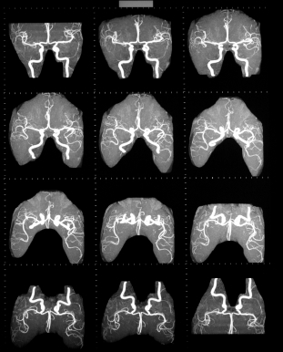
При подозрении на инсульт, пациент должен быть срочно госпитализирован и обследован. В диагностике обычно используется компьютерная томография, магнитно-резонансная томография. При отсутствии возможности проведения этих методов, диагностика менее достоверна и является результатом анализа клинической картины, данных спинномозговой пункции (в ликворе присутствует кровь), эхоэнцефалоскопии, дуплексного сканирования и церебральной ангиографии. Также необходимо исследовать: электролиты сыворотки крови, показатели функции почек, ЭКГ, маркеры ишемии миокарда, клинический анализ крови, протромбиновый индекс, насыщение крови кислородом.
Следует различать: инсульт, гнойный менингит, черепно-мозговая травма, кровоизлияние субарахноидальное, опухоли головного мозга, абсцесс мозга
Медицинские процедуры, проводимые при заболевании инсульт: Спиральная компьютерная томография, Магнитно-резонансная томография, Биохимический анализ крови, Клинический анализ крови, ЭКГ, Рентген, Спинальная пункция, Эхоэнцефалография, Дуплексное сканирование брахиоцефальных артерий (БЦА), Ангиография, Протромбиновое время, Протромбиновый индекс, Исследование газов крови
ПРОГНОЗ И ОСЛОЖНЕНИЯ
Прогноз. Чем старше больной, тем менее благоприятен прогноз; неблагоприятными признаками являются нарушения сознания, потеря речи, психические расстройства; чем скорее после инсульта началось восстановление нарушенных функций, тем больше шансов на выздоровление; любой дефект, сохраняющийся дольше шести месяцев, как правило, уже не поддается излечению, хотя возможны и исключения, когда нарушенные функции постепенно восстанавливаются и после указанного шестимесячного "лимита".
Больные редко погибают непосредственно от инсульта. К инсульту чаще всего присоединяются пневмония и пролежни, что требует постоянного ухода, переворачивания больного, смены мокрого белья, кормления, очищения кишечника, вибромассажа грудной клетки.
Осложнения: кома, паралитический синдром неуточненный, расстройства интеллектуально-мнестические
ЛЕЧЕНИЕ И ПРОФИЛАКТИКА
От того, как быстро начато лечение, часто зависит жизнь больного.
Лечение инсульта включает в себя проведение курса сосудистой терапии, использование препаратов, улучшающих мозговой обмен, кислородотерапию, восстановительное лечение или реабилитацию (лечебная физкультура, физиолечение, массаж). Возможно потребуется операция по удалению тромба или гематомы, остановка кровотечения.
После инсульта практически всем пациентам необходима реабилитация. В восстановлении потерянных после инсульта речевых и моторных навыков могут помочь умеренные физические нагрузки, трудотерапия, а также логопедия.
Профиактика. Регулярное измерение и контроль артериального давления. При ишемической болезни сердца строгое соблюдение диеты и достаточная активность. Контроль уровня сахара в крови. Отказ от курения.
Специальности по данному заболеванию
Врачи, занимающиеся данным заболеванием
-
-
Покровская Юлия Александровна Город: Москва Опыт: 11 лет
Провожу дистанционные консультации, диагностику и лечение по различным головным болям, лицевым болям, расстройствам вегетативной нервной подробнее...
Цены на услуги и многопрофильность медицинского центра
Российско-Израильский медицинский центр РАМБАМ
Услуги:
2 из 12.
Протромбиновое время, Протромбиновый индекс
176 руб.
Дуплексное сканирование брахиоцефальных артерий (БЦА)
1 843 руб.
НИИ комплексных проблем сердечно-сосудистых заболеваний СО РАМН
Услуги:
1 из 12.
Спиральная компьютерная томография
Н/Д
Дорожная стоматологическая поликлиника ОАО "РЖД"
Услуги:
1 из 12.
Спиральная компьютерная томография
Н/Д
Российско-Израильский медицинский центр РАМБАМ
Услуги: 2 из 12.
| Протромбиновое время, Протромбиновый индекс |
176 руб. |
| Дуплексное сканирование брахиоцефальных артерий (БЦА) |
1 843 руб. |
НИИ комплексных проблем сердечно-сосудистых заболеваний СО РАМН
Услуги: 1 из 12.
| Спиральная компьютерная томография |
Н/Д |
Дорожная стоматологическая поликлиника ОАО "РЖД"
Услуги: 1 из 12.
| Спиральная компьютерная томография |
Н/Д |







