Инвазивный легочный аспергиллез, описание симптомов болезни, профилактика, причины, последствия болезни и ее лечение
Описание - Инвазивный легочный аспергиллез
Синонимы: Инвазивный кандидоз
Аспергиллез- заболевание, вызываемое плесневыми грибами рода Aspergillus, поражающее преимущественно органы дыхания (легкие, бронхи) и околоносовые пазухи, а также, иногда, другие органы – кожу, почки, головной мозг, органы зрения.
Аспергиллы встречаются везде: в виде белой или зеленоватой плесени на овощах, фруктах, гнилом дереве. Их выделяют из почвы, воздуха, воды. Особенно насыщен спорами грибов воздух во влажных, плохо вентилируемых помещениях. Источниками аспергиллов являются вентиляционные системы и душевые помещения, кондиционеры, ингаляторы, увлажнители воздуха, старые подушки и книги, почва комнатных растений, пищевые продукты (орехи, молотый черный перец, чай в пакетиках и др.), биологические отходы, гниющая трава, сено и т.д.
В зависимости от преморбидного фона, возникают три основные формы легочного аспергиллеза — сапрофитный аспергиллёз (аспергиллёма), аллергический бронхопульмональный аспергиллёз и инвазивная аспергиллезная пневмония.
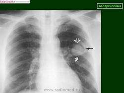
Аспергиллёма легких - находящийся в полости легкого или в бронхоэктазе подвижный конгломерат переплетенных аспергиллезных гиф, покрытый фибрином, слизью и клеточными элементами (по степени затемнения соответствует жидкости), располагающийся внутри овальной или сферической капсулы, отделяясь от нее воздушной прослойкой, с утолщением плевры.
Инвазивный легочной аспергиллёз(ИЛА) является наиболее тяжелой формой заболевания и всегда жизнеугрожающая. К основным факторам риска развития инвазивного аспергиллёза относятся длительная гормональная терапия, иммуносупрессивная терапия после трансплантации костного мозга или органной трансплантации, апластическая анемия, цитотоксическая терапия. Крайне редко заболевание возникает у лиц вне иммуносупрессии. Адекватное количество циркулирующих фагоцитирующих клеток — главный фактор ограничения инвазии грибов рода Aspergillus.
Описание заболевания - Инвазивный легочный аспергиллез:
ЭПИДЕМИОЛОГИЯ
Аспергиллез считают второй по частоте после кандидамикоза микотической инфекцией. Заражение происходит преимущественно ингаляционным путем. Наиболее опасными считаются аспергиллы, развивающиеся на древесине, менее опасными – живущие на пищевых продуктах. Аспергиллез неконтагиозен и не передается от человека к человеку.
СИМПТОМЫ
Чаще всего инвазивный легочной аспергиллез проявляется кашлем, обычно сухим вначале, лихорадкой, острой односторонней болью в грудной клетке, одышкой, впоследствии может присоединяться кровохарканье.
Аспергиллы обладают тропизмом к кровеносным сосудам. Они проникают в сосудистые стенки, где происходит их дальнейший рост, следствием этого может быть тромбоз сосуда и инфаркт участка легкого или гематогенная диссеминация и вовлечение в патологический процесс отдаленных тканей.
Симптомы: непродуктивный кашель, лихорадка, боль в груди, одышка, кровохарканье
ДИАГНОСТИКА
Трудность для врачей состоит в том, что, как правило, грибковые инфекции малосимптомны на ранних стадиях, причем
часто ни лабораторные, ни рентгенологические методы не могут помочь, поэтому для ранней диагностики инвазивного легочного аспергиллёза крайне необходимо проведение компьютерной томографии (КТ), по возможности с использованием высокоразрешающей техники или спиральной КТ.
Грибковая инфекция считается подтвержденной при положительном результате гистологического исследования или при получении аспергилл методом бронхоальвеолярного лаважа (промывных вод из бронхиального дерева), или при наличии клинической симптоматики поражения легочной ткани.
Следует различать: инвазивный легочный аспергиллез, пневмония (воспаление легких), рак легких, туберкулез, злокачественное новообразование бронхов и легкого
Медицинские процедуры, проводимые при заболевании инвазивный легочный аспергиллез: Рентгенография грудной клетки, Компьютерная томография, Клинический анализ крови, Бронхоскопия, Микробиологическое исследование промывных вод из бронхов, ПЦР-диагностика
ПРОГНОЗ И ОСЛОЖНЕНИЯ
Летальность при инвазивном легочном аспергиллезе достигает 90 % в случае поздней диагностики. Прогноз заболевания зависит от локализации и распространенности патологического процесса в легочной ткани. Инвазивный легочный аспергиллез имеет острое и хроническое течение.
Осложнения: легочное кровотечение, дыхательная недостаточность
ЛЕЧЕНИЕ И ПРОФИЛАКТИКА
Лечение. Основным препаратом в лечении инвазивного аспергиллёза является амфотерицин. Альтернативой амфотерицину В является итраконазол. В некоторых тяжелых случаях используются одновременно оба препарата. Иногда применяется хирургическое иссечение очага, так как массивные легочные кровотечения у пациентов в состоянии иммуносупрессии в 10–15 % являются причиной смерти. Хирургическую резекцию поврежденной зоны осуществляют для предупреждения легочного кровотечения при центральном расположении очага (вблизи средостения).
- Вифенд®
- .







