Кавернозный туберкулез, описание симптомов болезни, профилактика, причины, последствия болезни и ее лечение
Описание - Кавернозный туберкулез
Данное заболевание относится к группе заболеваний Туберкулезы легких
Синонимы: Туберкулез легкого
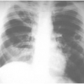
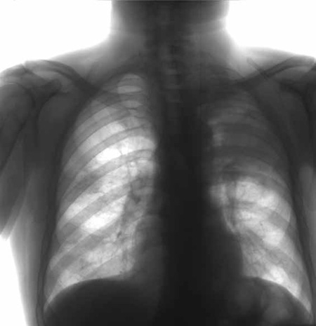
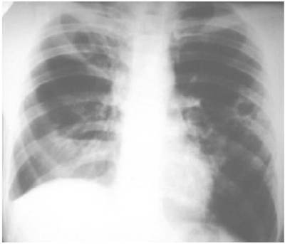
Это вид туберкулеза, при котором в легких на месте разрушенной ткани образуются полости. Заболевание может возникать при наличии другой формы туберкулеза легких, в основном - инфильтративной.
Описание заболевания - Кавернозный туберкулез:
Специальности по данному заболеванию
Врачи, занимающиеся данным заболеванием
-
Морозова Марина Александровна Город: Новый Уренгой Опыт: 26 лет
Работаю врачом-терапевтом в коммерческой поликлинике "Сканер" г. Новый Уренгой. Закончила Астраханский государственный медицинский институт в подробнее...
-
Налбандова Дарья Аркадьевна Город: Москва Опыт: 1 год
В 2006 году окончила Московскую Медицинскую Академию имени И.М. Сеченова. Склонна к безграничному разитию и подробнее...
Фефелова Ирина Викторовна Опыт: 40 лет
Фефелова Ирина Викторовна- терапевт-гематолог консультант высшей квалификационной категории, кандидат медицинских наук, классический гомеопат. В 1979 г подробнее...







