Плеврит туберкулёзный, описание симптомов болезни, профилактика, причины, последствия болезни и ее лечение
Описание - Плеврит туберкулёзный
Данное заболевание относится к группе заболеваний Туберкулезы
Латинское название: Pleuritis
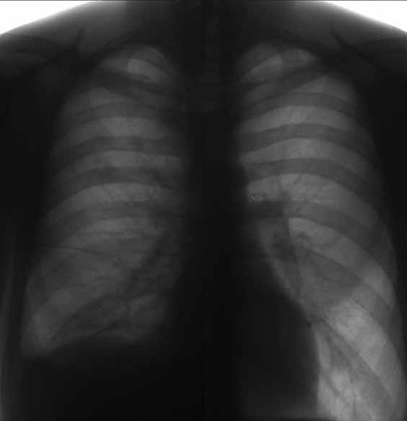
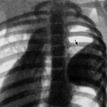
Может стать первым проявлением туберкулеза легких, Микобактерия туберкулеза может поразить отделы легких, расположенные наиболее поверхностно, рядом с плеврой (оболочка, покрывающая плевру), в таких случаях сначала проявляются признаки плеврита, так как микобактерия поражает и плевру. Развивается воспаление с постепенным разрушением плевры рядом с очагом в легких.
Описание заболевания - Плеврит туберкулёзный:
Специальности по данному заболеванию
Врачи, занимающиеся данным заболеванием
-
Морозова Марина Александровна Город: Новый Уренгой Опыт: 26 лет
Работаю врачом-терапевтом в коммерческой поликлинике "Сканер" г. Новый Уренгой. Закончила Астраханский государственный медицинский институт в подробнее...
-
Налбандова Дарья Аркадьевна Город: Москва Опыт: 1 год
В 2006 году окончила Московскую Медицинскую Академию имени И.М. Сеченова. Склонна к безграничному разитию и подробнее...
Фефелова Ирина Викторовна Опыт: 40 лет
Фефелова Ирина Викторовна- терапевт-гематолог консультант высшей квалификационной категории, кандидат медицинских наук, классический гомеопат. В 1979 г подробнее...







