Синдром поликистозных яичников, описание симптомов болезни, профилактика, причины, последствия болезни и ее лечение
Описание - Синдром поликистозных яичников
Синонимы: Спкя
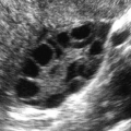
Синдром, связанный с гормональным дисбалансом в гипофизе и приводящий к развитию ожирения либо изменению телосложения на «спортивный тип» с широкими плечами и узким тазом, недоразвитию молочных желёз, чрезмерного оволосения, появлению акне, снижению тембра голоса. Причиной таких клинических проявлений служит повышение уровня ЛГ (лютеинизирующего гормона) в гипофизе, который стимулирует синтез андрогенов в яичниках и возникает гиперандрогения (чрезмерное количество мужских половых гормонов в организме женщины). Также одним из проявлений будут нерегулярные мажущие кровотечения вместо полноценных ментсруаций из-за того, что при недостатке эстрогенов эндометрий не может нормально расти и отторгаться в период менструаций.
Описание заболевания - Синдром поликистозных яичников:
Специальности по данному заболеванию
Врачи, занимающиеся данным заболеванием
-
Тропынина Елена Владимировна Город: Москва Опыт: 30 лет
С 1998 года занимаюсь малоинвазивной хирургией в гинекологии (лапароскопия, гистероскопия). Выполняю все объемы оперативного лечения подробнее...
Першина Екатерина Вячеславовна Город: Москва Опыт: 7 лет
Постояно повышаю свою квалификацию. подробнее...
Панов Антон Евгеньевич Город: Москва Опыт: 7 лет
В данный момент осуществляю лечебную и оперативную деятельность на базе Швейцарской Университетской Клиники под руководством подробнее...
-







