Врожденное отсутствие (агенезия) легкого, описание симптомов болезни, профилактика, причины, последствия болезни и ее лечение
Описание - Врожденное отсутствие (агенезия) легкого
Латинское название: Agenesia pulmoni
Синонимы: Агенезия легкого, отсутствие легкого
Агенезия легкого — представляет собой редко встречающуюся аномалию развития, при которой полностью отсутствует весь орган (легкое) и соответствующий главный бронх. Бронх единственного легкого является продолжением трахеи, не сужается и не перегибается. Является результатом воздействия на плод неблагоприятных факторов среды (вирусные инфекции, прием сильнодействующих препаратов и т.д.) в период закладки органов.
Описание заболевания - Врожденное отсутствие (агенезия) легкого:
ЭПИДЕМИОЛОГИЯ
Агенезия левого легкого наблюдается несколько чаще, чем агенезия правого, которая чаще сочетается с аномалиями других органов. Дети рождаются нежизнеспособными или погибают в первые недели и месяцы жизни.
Лишь у 1/3 больных односторонняя агенезия или гипоплазия может сопровождаться слабовыраженными симптомами и неспецифическими признаками, и поэтому ее диагностируют при жизни. Возможно бессимптомное течение процесса. Агенезия может быть выявлена случайно при профилактическом обследовании (на рентгене).
СИМПТОМЫ
Обычно клиническая симптоматика проявляется уже в первые годы жизни ребенка. У больных отмечаются одышка при быстрой ходьбе и беге, снижение устойчивости к нагрузкам, а также периодический кашель со скудной мокротой. Больные нередко жалуются на боли в груди. Дети с недоразвитием легкого отстают в физическом развитии, на стороне порока развития легкого грудная клетка сужена, уплощена. Западение ее особенно выражено у больных с агенезией легкого. Во многих случаях наблюдается утолщение ногтевых фаланг пальцев («барабанные палочки»).
Симптомы: одышка, снижение работоспособности, внезапные резкие боли в груди, непродуктивный кашель, отставание в физическом развитии, деформация грудной клетки, пальцы в виде барабанных палочек
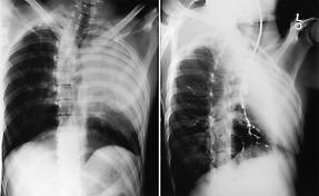
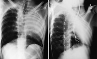
ДИАГНОСТИКА
Диагноз уточняют при томографическом исследовании, которое позволяет выявить отсутствие или культю одного из главных бронхов. С абсолютной достоверностью это подтверждается при бронхографии. В диагностике указанных пороков развития большое значение придается ангиопульмонографии. Бронхоскопически выявляется смещение трахеи в сторону агенезии, а также полное отсутствие или слепое окончание одного из главных бронхов.
Следует различать: врожденное отсутствие (агенезия) легкого, диафрагмальные грыжи у детей, инфильтративный туберкулез, плеврит экссудативный, ателектаз легких (спадение, нерасправление легких)
Медицинские процедуры, проводимые при заболевании врожденное отсутствие (агенезия) легкого: Компьютерная томография, Бронхография, Ангиопульмонография, Бронхоскопия
ПРОГНОЗ И ОСЛОЖНЕНИЯ
Прогноз у выживших детей зависит от сопутствующих аномалий развития. Смерть может наступить в результате легочных инфекций или осложнений (легочная гипертензия в сочетании с врожденными пороками сердца). Группой риска по развитию легочных заболеваний являются дети с агенезией легкого. Ранняя диагностика порока развития способствует проведению профилактических мер (рациональному трудоустройству, ограничению трудоспособности, правильному проведению трудовой экспертизы).
Осложнения: бронхит, пневмонии затяжные и рецидивирующие, инфильтративный туберкулез
ЛЕЧЕНИЕ И ПРОФИЛАКТИКА
Специфического лечения не существует. Агенезия легкого относится к аномалиям, не подлежащим оперативному лечению. Поддерживающие мероприятия: искусственная вентиляции легких и дополнительное вдыхание кислорода. Это позволяет создать достаточные условия для роста паренхимы легкого и обеспечить выживание ребенка. Детям более старшего возраста для борьбы с легочными инфекциями необходимо вводить антибиотики и ежегодно - противогриппозную вакцину.
Специальности по данному заболеванию
Врачи, занимающиеся данным заболеванием
-
Морозова Марина Александровна Город: Новый Уренгой Опыт: 26 лет
Работаю врачом-терапевтом в коммерческой поликлинике "Сканер" г. Новый Уренгой. Закончила Астраханский государственный медицинский институт в подробнее...
-







