Уважаемые коллеги! Приглашаем Вас и Ваших коллег принять участие в 4-й
В НИИ СП им. Н.В. Склифосовского провели пересадку легких пациентке с муковисцидозом. Программа трансплантации легких, успешно стартовавшая в НИИ СП им. Н.В. Склифосовского в прошлом году, п
Watch the INTRABEAM IORT Procedure for Breast Cancer
найти-врача.рф это рекомендательный сервис по выбору врача и медучреждений, первый в России.
Выберите свой город, например, Москва.
На сайте необходимый специалист ответит на Ваш вопрос онлайн, даст совет и осуществит запись на прием для проведения консультации, так же можете узнать возможен ли вызов на дом. После того как врач проведет осмотр, либо вы посетите медучреждения из каталога найти-врача.рф, обязательно оставьте свои отзывы, помогите сделать выбор другим.
Вы можете найти адреса и телефоны интересующих Вас медучреждений.
Поиск врача и мед учреждения - большая и ответственная работа, в которой найти-врача.рф станет Вашим первым помощником.
Врач же может найти на сайте найти-врача.рф признание пациентов и список вакансий.

Новости
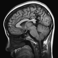
Наночастицы изменят МРТ-диагностику
Инновационные наночастицы для диагностики МРТ разработаны исследователями из Госпиталя МакЛина при Медицинском факультете Гарварда. Так называемые «зеленые» частицы на основе природного белка проникают в головной мозг, быстро проходят через гематоэнцефалический баръер из просвета сосудов в клетки мозга. Частицы обладают способностью транспортировать в нервные клетки определенные химические вещества.
По информации американских ученых, протеин клатрин встречается в клетках живых организмов, в том числе в клетках грибов, растений, простейших организмов, бактерий, животных и конечно, в организме человека. Данный белок выполняет функцию переносчика молекул внутрь клеток. Американские исследователи разработали метод, позволяющий трансформировать клатрин в наночастицы, которые можно использовать в диагностике.
Автор исследования, профессор Виталиано уточняет, что белок клатрин до настоящего времени не подвергался химическим превращениям. Не существует опыта по использованию рекомбинантного клатрина в организме человека. Ученый считает перспективными новые возможности в диагностике, а точнее в медицинской визуализации, которые появились при модификации белка. В головной мозг теперь можно вводить не только контрастные вещества для исследования, но и лекарственные препараты.
Американские исследователи совместили технологию модификации клатрина с присоединением флуоресцентных меток.
В настоящее время ученые изучают возможности применения технологии наночастиц клатрина в МРТ-диагностике. Эффективность МРТ –диагностики с контрастированием повышается почти в 8.000 раз в сравнении с применением контрастного вещества гадопентетата димеглумина, применяемого в современной лучевой диагностике.
Таким образом, появляется возможность уменьшить в 8.000 раз дозу контрастного вещества, вводимого в организм пациентов. Соответственно, практически сводится к нулю риск токсического поражения органов.
Есть мысли на тему новости? Поделитесь!
Другие новости
В ходе проведённых экспериментальных исследований учеными были сделаны неутешительные выводы о влиянии сотовых телефонов и смартфонов
Регенерация инсулинпродуцирующих клеток, основанная на применении иммуномодулирующей терапии. Ключевой процесс - восстановление Treg-клеток
Технология робот-ассистированных операций применяется в 46 странах. Более 1500 платформ комплекса Da Vinci, в том числе 10 установок в России
Широкий спектр действия при лечении осложненных инфекций кожи и мягких тканей и тяжелых форм пневмонии, при минимальных побочных эффектах
«Химерный пептид и фармацевтическая композиция для лечения онкологических заболеваний» вошел в список 100 лучших изобретений за 2011 год