Уважаемые коллеги! Приглашаем Вас и Ваших коллег принять участие в 4-й
В НИИ СП им. Н.В. Склифосовского провели пересадку легких пациентке с муковисцидозом. Программа трансплантации легких, успешно стартовавшая в НИИ СП им. Н.В. Склифосовского в прошлом году, п
Watch the INTRABEAM IORT Procedure for Breast Cancer
найти-врача.рф это рекомендательный сервис по выбору врача и медучреждений, первый в России.
Выберите свой город, например, Москва.
На сайте необходимый специалист ответит на Ваш вопрос онлайн, даст совет и осуществит запись на прием для проведения консультации, так же можете узнать возможен ли вызов на дом. После того как врач проведет осмотр, либо вы посетите медучреждения из каталога найти-врача.рф, обязательно оставьте свои отзывы, помогите сделать выбор другим.
Вы можете найти адреса и телефоны интересующих Вас медучреждений.
Поиск врача и мед учреждения - большая и ответственная работа, в которой найти-врача.рф станет Вашим первым помощником.
Врач же может найти на сайте найти-врача.рф признание пациентов и список вакансий.

Новости
Испанский метод в диагностике болезни Альцгеймера
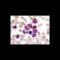
Испанские ученые разработали метод ранней диагностики болезни Альцгеймера. Метод основан на данных инфракрасной спектроскопии лейкоцитов пациента.
Группа исследователей из Института строения вещества в Мадриде открыла новый метод ранней надежной диагностики болезни Альцгеймера. Метод основан на просвечивании лейкоцитов пациента в ИК-лучах. Поведение лейкоцитов имеет характерные особенности, сообщает научный журнал Analitical & Bioanalitical Chemistry. Группой ученых руководил профессор Педро Кармона (Pedro Carmona).
Предварительные исследования привели ученых к заключению, что уровень поглощения или рассеяния волн инфракрасного диапазона лейкоцитами крови пациентов с болезнью Альцгеймера находится в зависимости от содержания в клетках особого белка- бета-амилоида. Известно, что бета-амилоид выявляется при болезни Альцгеймера в виде скоплений в головном мозге.
С открытием испанских ученых может измениться диагностика болезни Альцгеймера, так как новый метод неинвазивный, быстрый, надежный и дешевый, то есть он имеет существенные преимущества перед всеми рутинными методами диагностики болезни. Высокая чувствительность метода Кармоны позволяет даже проводить точное различие клинических стадий заболевания: от легкой стадии до умеренной формы болезни. Это достижимо благодаря знанию механизма накопления патогенного белка в организме: количество бета-амилоида в организме возрастает по мере развития заболевания.
Ученые проводили сравнение спектров ИК-излучения лейкоцитов в группе пациентов с легкой, умеренной и тяжелой формой болезни Альйгеймера, а также в контрольной группе здоровых людей. Всего в исследовании приняли участие 50 пациентов с болезнью Альцгеймера и 20 здоровых добровольцев контрольной группы.
После получения результатов исследования, было обнаружено, что лейкоциты здоровых людей в инфракрасном свете отличаются от лейкоцитов больных. Выявлена закономерность: различия сильнее при более тяжелой форме болезни (прогрессировании и запущенной стадии).
Ученые надеятся, что в скором будущем новый метод диагностики болезни Альцгеймера заменит биохимические анализы крови на содержание сотен биомаркеров болезни.
Есть мысли на тему новости? Поделитесь!
Другие новости
Британские врачи пришли к заключению о различиях в течении острых респираторных заболеваний у мужчин и женщин
Первые диагностические центры женского здоровья уже открыты в Санкт-Петербурге и Владивостоке, по инициативе С.В.Медведевой
Американские ученые сообщили об успешной трансплантации клеток сетчатки. Экспериментальное исследование на мышах с поврежденными генами
Исследователи из Нидерландской королевской академии наук изучили процессы запоминания и обучения у взрослых людей
Препарат против катаракты на основе "ионов Скулачева" вступил в следующую фазу клинических испытаний. Планируемый выход в продажу в 2012 году