Болезнь легионеров, описание симптомов болезни, профилактика, причины, последствия болезни и ее лечение
Описание - Болезнь легионеров
Синонимы: Легионеллез, легионеллез (болезнь легионеров), кондиционерная лихорадка, первичная атипичная пневмония
Болезнь легионеров (Легионеллёз, питтсбургская пневмония, понтиакская лихорадка, легионелла-инфекция, лихорадка форта Брэгг) — острое инфекционное заболевание, обусловленное заражением микроорганизмами (бактериями), относящимися к роду Legionella Pneumophila. Заболевание протекает, как правило, с выраженной лихорадкой, общей интоксикацией, поражением легких, центральной нервной системы, почек, органов пищеварения, возможно развитие синдрома полиорганной недостаточности.
Естественная восприимчивость высокая. Заболеванию способствуют курение, употребление алкоголя, хронические заболевания лёгких, эндокринные нарушения, иммунодефициты.
Описание заболевания - Болезнь легионеров:
ЭПИДЕМИОЛОГИЯ
Бактерии Легионеллы растут во влажной теплой среде и чаще обнаруживаются рядом с джакузи, фонтанами, охладителями, кондиционерами, системами опрыскивания и бассейнами.
Человек не является источником возбудителя инфекции. Даже при тесном общении с больным случаи заражения окружающих не зарегистрированы. Не установлено выделение возбудителя от животных, птиц или членистоногих.
Чаще всего заражение происходит при вдыхании водного аэрозоля. Большинство вспышек связано с системами охлаждения, технологическими циклами, при работе которых образуется мелкодисперсный аэрозоль, содержащий бактерии. Возможен воздушно-пылевой путь заражения при строительных и земляных работах. В условиях лечебно-профилактических учреждений возможен способ заражения, связанный с лечебными процедурами: интубацией, терапией ультразвуковыми ингаляторами, вихревыми ваннами и др.
Легионеллёз распространён повсеместно; заболеваемость выше в экономически развитых странах. Чаще возникает среди лиц, проживающих в гостиницах, медицинских работников и больных психиатрических и гериатрических стационаров. Вспышки среди населения возникают чаще в летне-осенний период. Известны внутрибольничные вспышки легионеллёза. Их отмечают в течение всего года. Болеют в основном лица пожилого возраста, причём мужчины в 2-3 раза чаще, чем женщины. Удельный вес пневмоний, вызванных легионеллами, составляет 0,5-5%, в то время как острое респираторное заболевание легионеллёзной природы (лихорадка Понтиак) возникает у 95% от общего числа лиц, подвергшихся заражению.
СИМПТОМЫ
Заболевание начинается с головной боли, слабости, снижения аппетита, возможно развитие диареи. Быстро повышается температура до 39-40 °С, нарастают признаки тяжёлой интоксикации. Больные жалуются на озноб, головную боль, боли в мышцах и суставах, выраженную потливость. Развиваются общая слабость, адинамия. Появляются признаки токсического поражения ЦНС: эмоциональная лабильность, заторможенность, галлюцинации, потеря сознания и бред. Иногда наблюдают атаксию, дизартрию, нистагм, паралич глазодвигательных мышц. К середине недели возникает кашель, сначала сухой, затем со скудной слизисто-гнойной, а у части больных с кровянистой мокротой. Развиваются одышка, сильные боли в груди, особенно при сопутствующем фибринозном плеврите. В лёгких выявляют большое количество сухих и влажных мелкопузырчатых хрипов.
Поражения сердечно-сосудистой системы проявляются гипотонией, относительной брадикардией, сменяющейся тахикардией. Часто возникает продолжительная диарея с болями в животе и урчанием кишечника, гепатиты с желтухой. Возможны нарушения функции почек вплоть до почечной недостаточности, сохраняющейся затем месяцами. При выздоровлении астенический синдром (слабость, головокружение, снижение памяти, раздражительность).
Симптомы: боль в груди, одышка, сухой кашель, кашель со слизисто-гнойной мокротой, кашель с кровью, хрипы в легких, а также возможно проявление таких симптомов как головная боль, слабость, снижение аппетита, диарея, повышенная температура, озноб, мышечные боли и скованность, боль в суставах, потливость, адинамия, заторможенность, обморок, бред, общий дискомфорт, беспокойство, атаксия (отсутствие координации), непроизвольные движения глаз (нистагм), гипотония, брадикардия, учащенное сердцебиение, желтуха, почечная недостаточность
ДИАГНОСТИКА
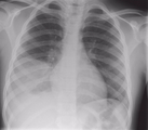
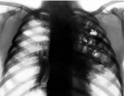
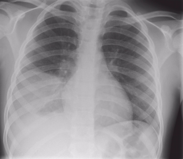
При постановке диагноза учитывается эпидемиологическая обстановка, жалобы больного, клиническая картина заболевания, данные лабораторного и инструментального исследований. Проводится исследование крови, мочи, ЭКГ, рентген легких, кровь на серологию (обнаружение антител к легионеллам), иммуноферментный анализ, реакция иммунофлюоресценции, УЗИ брюшной полости.
Следует различать: болезнь легионеров, туляремия, орнитоз, атипичная пневмония, ку-лихорадка, риновирусная инфекции (орви), пневмония неуточненная, другие бактериальные пневмонии
Медицинские процедуры, проводимые при заболевании болезнь легионеров: Биохимический анализ крови, Клинический анализ крови, Анализ мочи, ЭКГ, Рентген, Реакция иммунофлюоресценции (РИФ), Иммуноферментный анализ, Серология, УЗИ брюшной полости
ПРОГНОЗ И ОСЛОЖНЕНИЯ
Инкубационный период варьирует от 2 до 10 дней, в среднем составляя 4-7 сут. Легионеллез может протекать как пневмония, как острый альвеолит, острое респираторное заболевание (лихорадка Понтиак), как острое лихорадочное заболевание (лихорадка форта Брэгг) с кожными проявлениями. Реже заболевание может протекать по разному: от субклинической формы до тяжёлых генерализованных форм с полиорганными поражениями и сепсисом.
Длительность постинфекционного иммунитета не известна, однако рецидивы болезни не зарегистрированы.
Смертность нелеченых больных достаточно велика и достигает 40 % у лиц, не получающих адекватного лечения, и снижается до 5 % при использовании антибиотиков. При наличии сопутствующих, отягощающих течение легионеллеза заболеваний, смертность может увеличиваться в 2-3 раза.
Осложнения: абсцесс легкого, плеврит экссудативный, шоковое состояние, дыхательная недостаточность, сердечная недостаточность
ЛЕЧЕНИЕ И ПРОФИЛАКТИКА
Лечение. Длительная антибиотикотерапия. В тяжелых случаях требуется внутривенное введение жидкости, подача кислорода, может потребоваться искусственная вентиляция легких и диализ.
Профилактические мероприятия включают выявление резервуаров инфекции и их обеззараживание (ванные помещения, душевые сетки, контроль за кондиционированием воздуха и др.). Особенно это касается лечебных учреждений с целью исключения внутрибольничной инфекции. Химиопрофилактика и специфическая профилактика не разработаны.
- Грюнамицин сироп
- , Эргоферон
- , Сумамед®
- , Спирамицин-веро
- , Спарфло®
- , Рифадин
- , Натрия нуклеинат
- , Канамицина сульфат
- , Зетамакс ретард
- , Доксициклина гидрохлорид
- , Эритромицина фосфат
- .







