Микобактериальная инфекция у ВИЧ-инфицированных больных, описание симптомов болезни, профилактика, причины, последствия болезни и ее лечение
Описание - Микобактериальная инфекция у ВИЧ-инфицированных больных
Синонимы: Туберкулез у вич-инфицированных больных
Для России проблема туберкулеза у ВИЧ-инфицированных имеет особое значение, так как высока инфицированность населения микобактериями туберкулеза и быстрое распространение ВИЧ-инфекции в группе повышенного риска делают прогноз этой сочетанной патологии неблагоприятным. Борьба с ней в значительной мере осложняется тем, что ВИЧ-инфекция способствует прогрессированию туберкулезной инфекции, а туберкулез ухудшает течение ВИЧ-инфекции. В структуре оппортунистических заболеваний у ВИЧ-инфицированных в России, туберкулез занимает 2—3 место.
При ВИЧ-инфекции иммунная система не может сдерживать распространение микобактерий туберкулеза в организме, что приводит к повышению восприимчивости человека к туберкулезу, увеличивая риск заболевания в 10 раз.
Описание заболевания - Микобактериальная инфекция у ВИЧ-инфицированных больных:
ЭПИДЕМИОЛОГИЯ
Туберкулез диагностируют у 5—15% больных ВИЧ-инфекцией. Туберкулез - инфекционное заболевание, вызываемое микобактерией туберкулеза, распространяемой больными легочным туберкулезом. При кашле, чихании, разговоре больной распространяет капельки мокроты, содержащие возбудителя болезни. Развитию туберкулеза способствуют плохие бытовые условия, недостаточное и неправильное питание, стрессовые ситуации, курение, алкоголизм, наркомания, хронические заболевания органов дыхания, желудочно-кишечного тракта, сахарный диабет, а также снижение иммунной системы у человека при наличии у него ВИЧ-инфекции. Людям с ВИЧ-инфекцией возбудитель туберкулеза передается в семь раз чаще. Также у людей с ВИЧ с латентным туберкулезом заболевание гораздо чаще переходит в активную форму. Чем ниже иммунный статус у человека с ВИЧ, тем выше риск развития внелегочной формы туберкулеза.
СИМПТОМЫ
Чаще всего туберкулез поражает органы дыхания. Люди с очень низким иммунным статусом (больные ВИЧ-инфекцией) могут страдать от "атипичного" или "внелегочного" туберкулеза, который развивается, когда бактерия распространяется из легких в другие органы. Туберкулез может поражать лимфоузлы, костную ткань, в том числе позвоночник, ткани, окружающие сердце (перикард), плевру, органы пищеварительной системы, почки и мочеиспускательный канал. Иногда туберкулез вызывает воспаление головного мозга (менингит) или спинного мозга. К симптомам менингита относятся: раздражительность, бессонница, усиливающиеся головные боли, спутанность сознания, потеря сознания и судороги. Такие симптомы как лихорадка, сильная хроническая усталость и резкая потеря веса являются "универсальными" для всех форм туберкулеза.
Основными клиническими проявлениями туберкулеза на фоне ВИЧ-инфекции являются астения, постоянная или интермиттирующая лихорадка, длительный кашель, значительное снижение массы тела, диарея, увеличение лимфатических узлов, преимущественно шейных и подмышечных, реже паховых, имеющих плотную консистенцию, бугристых, плохо смещающихся при пальпации.
Симптомы: астенический синдром, лихорадка, кашель, снижение веса, диарея (понос), увеличение лимфатических узлов
ДИАГНОСТИКА
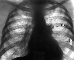
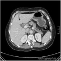
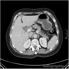
В начальной стадии ВИЧ: проводится изучение жалоб и анамнеза пациента, объективное обследование, анализы крови и мочи, рентгенография органов грудной клетки, микроскопическое исследование и посев мокроты на питательные среды, оценка внутрикожной реакции Манту. С учетом высокой частоты внелегочных поражений у ВИЧ-инфицированных больных туберкулезом, немаловажная роль в диагностике отводится биопсии лимфатических узлов, селезенки, печени, костного мозга и других органов. Проводится компьютерная томография. В качестве дополнительного исследования рекомендуется использование метода иммуноферментного анализа (ИФА) для выявления противотуберкулезных антител и антигенов.
Следует различать: микобактериальная инфекция у вич-инфицированных больных, лимфогранулематоз, туберкулез лимфатических узлов, диссеминированный туберкулез, лимфома (рак лимфатических узлов), сепсис (тяжелая инфекция), острый и подострый инфекционный эндокардит
Медицинские процедуры, проводимые при заболевании микобактериальная инфекция у вич-инфицированных больных: Клинический анализ крови, Общий анализ мочи, Биохимический анализ крови, Рентгенография грудной клетки, Посев мокроты с определеним чувствительности к антибиотикам (Мокрота в стерильный контейнер), Исследование мокроты, Реакция Манту, Биопсия лимфатических узлов, Биопсия костного мозга, Биопсия селезенки, Биопсия печени, Компьютерная томография, Иммуноферментный анализ
ПРОГНОЗ И ОСЛОЖНЕНИЯ
Поздно выявленный туберкулез увеличивает смертность ВИЧ-инфицированных, а при своевременном выявлении - туберкулез у больных ВИЧ-инфекцией лечится, с таким же успехом, как и без нее.
Особенность клиники СПИДа у больных туберкулезом легких заключается в клинически тяжелом течении болезни, с быстрым прогрессированием процесса в легких, тенденцией к генерализации в другие органы и летальным исходом (через 4-6, реже 9-12 месяцев).
Традиционная терапия туберкулеза легких у больных в терминальной стадии СПИДа оказывается неэффективной, и прогноз остается неблагоприятным. Обычно эти больные умирают от различных инфекционных осложнений СПИДа (часто от пневмоцистной пневмонии). Туберкулез почти никогда не бывает главной причиной смерти.
Осложнения: септический шок, пневмоцистная пневмония, плеврит туберкулёзный, бронхоаденит туберкулёзный, туберкулез нервной системы, абсцессы печени
ЛЕЧЕНИЕ И ПРОФИЛАКТИКА
Обычно при лечении больных туберкулезом и СПИДом необходимо одновременное назначение противотуберкулезных и антиретровирусных препаратов.
Широкая пропаганда профилактических мероприятий в борьбе с туберкулезом, а также санитарное просвещение в отношении увеличивающейся опасности ВИЧ и СПИДа позволит сократить инфицированность и заболеваемость обеими инфекциями.
Специальности по данному заболеванию
Цены на услуги и многопрофильность медицинского центра
Российско-Израильский медицинский центр РАМБАМ
Услуги:
3 из 13.
Общий анализ мочи
219 руб.
Посев мокроты с определеним чувствительности к антибиотикам (Мокрота в стерильный контейнер)
768 руб.
Исследование мокроты
516 руб.
НИИ комплексных проблем сердечно-сосудистых заболеваний СО РАМН
Услуги:
1 из 13.
Компьютерная томография
Н/Д
Российско-Израильский медицинский центр РАМБАМ
Услуги: 3 из 13.
| Общий анализ мочи |
219 руб. |
| Посев мокроты с определеним чувствительности к антибиотикам (Мокрота в стерильный контейнер) |
768 руб. |
| Исследование мокроты |
516 руб. |
НИИ комплексных проблем сердечно-сосудистых заболеваний СО РАМН
Услуги: 1 из 13.
| Компьютерная томография |
Н/Д |







