Внутримозговое кровоизлияние, описание симптомов болезни, профилактика, причины, последствия болезни и ее лечение
Описание - Внутримозговое кровоизлияние
Синонимы: Инсульт геморрагический, кровоизлияние в мозг, инсульт апоплексический, апоплексический удар, апоплексия мозга, внутричерепное кровоизлияние
Внутримозговое кровоизлияние относят к острым нарушениям мозгового кровообращения (ОНМК) по геморрагическому типу. Любые внутримозговые кровоизлияния обычно развиваются остро, с непрерывным нарастанием симптоматики в течение нескольких минут или часов.
Факторы риска развития кровоизлияния: артериальная гипертензия; возраст более 50 лет; курение (повышает вероятность геморрагических ОНМК в 2,5 раза; употребление алкоголя; избыточная масса тела, как показано в некоторых исследованиях, коррелирует с увеличением объема кровоизлияния в желудочки мозга.
Причины кровоизлияния: В 70-80% случаев спонтанное кровоизлияние в мозг это следствие артериальной гипертензии; более редкие причины: аневризмы и мальформации, опухоли мозга, антикоагулянтная терапия, тромбозы мозговых вен и венозных синусов, септические эмболии, мигрень, кровоизлияние при физическом напряжении, при жировой эмболии, кровоизлияние при острой интенсивной боли и др.
По причине развития заболевания различают: первичные кровоизлияния в мозг (связаны чаще всего с артериальной гипертензией); вторичные кровоизлияния в мозг (связано с патологией сосудов: аневризмы, мальформации, васкулиты и др.);
Кровоизлияние в головной мозг относят к геморрагическому инсульту (ОНМК по геморрагическому типу).
Описание заболевания - Внутримозговое кровоизлияние:
ЭПИДЕМИОЛОГИЯ
На 2000 г. распространенность спонтанного внутримозгового кровоизлияния в мозг в России составляла 0,6 на 1000 жителей в год. По данным НИИ неврологии в Москве летальность при тяжелых геморрагических инсультах около 70%.
СИМПТОМЫ
Клиническая картина зависит от локализации кровоизлияния и заключается в возникновении параличей и парезов на противоположной стороне тела, нарушении речи и движения глазных яблок, зрения, нарушения чувствительности, что сочетается, как правило, с общемозговой симптоматикой (головная боль, тошнота, рвота, внезапное угнетение или утрата сознания), которые сохраняются более 24 часов.
При кровоизлиянии в мост – отдел ствола мозга – отмечается раннее развитие комы. Кровоизлияния в мозжечок характеризуются внезапным головокружением и рвотой в сочетании с выраженными нарушениями походки и устойчивости позы.
Симптомы: паралич, нарушение речи, нарушение зрения, нарушение движения глазных яблок, нарушение кожной чувствительности, а также возможно проявление таких симптомов как головокружение, головная боль, тошнота и рвота, потеря сознания
ДИАГНОСТИКА
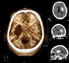
Провести клиническое обследование (анамнез и неврологический осмотр). Достоверная диагностика кровоизлияния в мозг возможна на основании КТ или МРТ томографии. При отсутствии возможности проведения этих методов, диагностика менее достоверна и является результатом анализа клинической картины, данных спинномозговой пункции (в ликворе присутствует кровь), эхоэнцефалоскопии, дуплексного сканирования и церебральной ангиографии. Также необходимо исследовать: электролиты сыворотки крови, показатели функции почек, ЭКГ, маркеры ишемии миокарда, клинический анализ крови, протромбиновый индекс, насыщение крови кислородом.
Изучение истории болезни и медицинский осмотр не проводятся. Изображениями исследования проводятся для установления диагноза.
Следует различать: внутримозговое кровоизлияние, рассеянный склероз, инсульт ишемический, кровоизлияние субарахноидальное, опухоли головного мозга, абсцесс мозга, эпидуральная гематома (кровоизлияние вне мозга), субдуральная гематома (кровоизлияние в мозг), эпилептический статус
Медицинские процедуры, проводимые при заболевании внутримозговое кровоизлияние: КТ головного мозга (КПП) сканирование без красителей, Магнитно-резонансная томография, Спинальная пункция, Эхоэнцефалография, Дуплексное сканирование брахиоцефальных артерий (БЦА), Ангиография, Биохимический анализ крови, ЭКГ, Клинический анализ крови, Протромбиновое время, Протромбиновый индекс, Исследование газов крови
ПРОГНОЗ И ОСЛОЖНЕНИЯ
При кровоизлиянии в мозг летальный исход в первый месяц наблюдается у 40 – 60% больных. Смертность в течение года после инсульта составляет 50-65% в зависимости от локализации и размеров кровоизлияния. Около 60-80% перенесших внутримозговое кровоизлияние больных имеют функциональные неврологические нарушения разной степени выраженности.
Осложнения: гематома (скопление крови), отек мозга, тромбоэмболия легочной артерии, пневмония (воспаление легких), инфаркт миокарда, сердечная недостаточность
ЛЕЧЕНИЕ И ПРОФИЛАКТИКА
При подозрении на острое кровоизлияние в мозг необходима срочная госпитализация больного в стационар (в течении 30 - 60 мин.)
Задачи лечения: снижение и стабилизация АД, остановка кровотечения и удаление гематомы или устранение источника кровотечения (аневризмы, кавернозной ангиомы и др.); защита и восстановление мозговой ткани; нормализация функции дыхания; нормализация кровообращения; регуляция обмена веществ; борьба с отеком головного мозга; симптоматическая терапия.
Профилактика. Здоровый образ жизни.
- Винпоцетин
- , Эмоксипин®
- , Циннасан
- , Циннаризин
- , Церетон®
- , Церебрил
- , Солкосерил
- , Пирамем
- , Микристин
- , Комбитропил®
- , Кавинтон®
- , Аминоплазмаль Е
- , Дексазон®
- , Глиатилин
- , Винпоцетин-Акри®
- , Эмоксипина® раствор для инъекций 1%
- .
Специальности по данному заболеванию
Врачи, занимающиеся данным заболеванием
-
Покровская Юлия Александровна Город: Москва Опыт: 11 лет
Провожу дистанционные консультации, диагностику и лечение по различным головным болям, лицевым болям, расстройствам вегетативной нервной подробнее...
-
Цены на услуги и многопрофильность медицинского центра
Российско-Израильский медицинский центр РАМБАМ
Услуги:
2 из 11.
Протромбиновое время, Протромбиновый индекс
176 руб.
Дуплексное сканирование брахиоцефальных артерий (БЦА)
1 843 руб.
Российско-Израильский медицинский центр РАМБАМ
Услуги: 2 из 11.
| Протромбиновое время, Протромбиновый индекс |
176 руб. |
| Дуплексное сканирование брахиоцефальных артерий (БЦА) |
1 843 руб. |







