Аспирационная пневмония, описание симптомов болезни, профилактика, причины, последствия болезни и ее лечение
Описание - Аспирационная пневмония
Синонимы: Аспирация инородных предметов и жидкостей, пневмония аспирационная, пневмонит, вызванный пищей и рвотными массами
Аспирационная пневмония - пневмония, возникающая вследствие попадания инородных тел, жидкостей в нижние дыхательные пути. Аспирация обычное явление и у здоровых лиц, но аспирированный материал, как правило, легко и без последствий удаляется при кашле.
Аспирационная пневмония в зависимости от аспирированного материала подразделяется на химический пневмонит (чаще всего аспирация кислого желудочного сока), бактериальную инфекцию нижних дыхательных путей (чаще всего возбудитель аспирированная анаэробная флора ротовой полости) и механическую обструкцию (аспирация инертных жидкостей и твердых частиц). Они различаются по развитию и симптоматике и требуют разного лечения.
Состояния, предрасполагающие к развитию аспирации: алкоголизм, судороги, инсульт, травмы головы, наркоз, передозировка наркотиков или седативных средств, заболевания пищевода, рассеянный склероз, болезнь Паркинсона, миастения, паралич, установленный желудочный зонд, трахеостомическая трубка, при введении интубационной трубки (наркоз), проведение бронхоскопии, рвота, гипергликемия, пожилой возраст и т.д.
Описание заболевания - Аспирационная пневмония:
ЭПИДЕМИОЛОГИЯ
Аспирационные пневмонии составляют около 10% всех внебольничных пневмоний.
СИМПТОМЫ
При химическом пневмоните - мокрота розовая, пенистая, снижение уровня кислорода в крови. При механической обструкции возможно развитие отека легких. В зависимости от уровня обструкции, возможна внезапная смерть или развитие хронического кашля. При бактериальной инфекции - постепенное начало, медленное развитие заболевания.
Симптомы: кашель, одышка, учащенное дыхание, синий цвет кожи (цианоз), гнойная мокрота, учащенное сердцебиение, спазм бронхов, апноэ, а также возможно проявление таких симптомов как лихорадка, боль в груди, спутанность сознания
ДИАГНОСТИКА
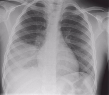
Специфических методов диагностики аспирационной пневмонии нет. Диагноз устанавливается по совокупности ряда синдромов и симптомов: гипоксемии, лихорадки, лейкоцитоза, легочной инфильтрации типичной локализации и доказанной или предполагаемой аспирации у пациентов с факторами риска. Кроме общего осмотра, проводится рентгенография легких, бронхоскопия, исследование мокроты, КТ, исследование крови.
Следует различать: аспирационная пневмония, пневмония (воспаление легких), туберкулез, рак легкого (опухоль), тромбоэмболия легочной артерии, системные васкулиты
Медицинские процедуры, проводимые при заболевании аспирационная пневмония: Консультация пульмонолога, Бронхоскопия, Исследование мокроты, Рентген, Спиральная компьютерная томография, Клинический анализ крови
ПРОГНОЗ И ОСЛОЖНЕНИЯ
Прогноз при своевременно начатой и рациональной терапии благоприятный. Затяжное течение пневмонии чаще всего обусловлено поздно начатым и неадекватным лечением.
Осложнения: отёк лёгких, легочный коллапс, пневмосклероз, бронхоэктатическая болезнь, абсцесс легкого, гангрена и некроз легкого
ЛЕЧЕНИЕ И ПРОФИЛАКТИКА
Лечение зависит от тяжести заболевания и может включать в себя: госпитализацию, очищение бронхиального дерева от инородных предметов и жидкостей, оксигенотерапию, внутривенное введение жидкости, искусственное дыхание, антибиотикотерапию.
Профилактика. Сводится к предупреждению состояний, способных вызвать аспирацию.
Медицинские процедуры: Искусственная вентиляция легких, ОксигенотерапияПри лечении данного заболевания используются следующие методы: лекарственные, нелекарственные, консервативные
- Полькортолон
- .
Специальности по данному заболеванию
Врачи, занимающиеся данным заболеванием
-
Налбандова Дарья Аркадьевна Город: Москва Опыт: 1 год
В 2006 году окончила Московскую Медицинскую Академию имени И.М. Сеченова. Склонна к безграничному разитию и подробнее...
Морозова Марина Александровна Город: Новый Уренгой Опыт: 26 лет
Работаю врачом-терапевтом в коммерческой поликлинике "Сканер" г. Новый Уренгой. Закончила Астраханский государственный медицинский институт в подробнее...
-
Фефелова Ирина Викторовна Опыт: 40 лет
Фефелова Ирина Викторовна- терапевт-гематолог консультант высшей квалификационной категории, кандидат медицинских наук, классический гомеопат. В 1979 г подробнее...







